Twist1/2 antibody

Cat. No. GTX127310
Cat. No.  GTX127310
Anti-Twist1/2 antibody used in Western Blot (WB). GTX127310
GTX127310 WB Image

Various whole cell extracts (30 μg) were separated by 12% SDS-PAGE, and the membrane was blotted with Twist1/2 antibody (GTX127310) diluted at 1:1000. The HRP-conjugated anti-rabbit IgG antibody (GTX213110-01) was used to detect the primary antibody.

1 / 16
Anti-Twist1/2 antibody used in Western Blot (WB). GTX127310
GTX127310 WB Image

Twist1/2 antibody detects Twist1/2 protein by western blot analysis. Various whole cell extracts (30 μg) were separated by 12% SDS-PAGE, and the membrane was blotted with Twist1/2 antibody (GTX127310) diluted at 1:1000. The HRP-conjugated anti-rabbit IgG antibody (GTX213110-01) was used to detect the primary antibody.

2 / 16
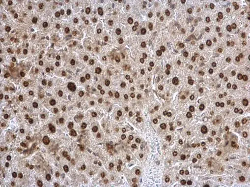
Anti-Twist1/2 antibody used in IHC (Paraffin sections) (IHC-P). GTX127310
GTX127310 IHC-P Image

Twist1/2 antibody detects Twist1/2 protein at nucleus on mouse liver by immunohistochemical analysis.
Sample: Paraffin-embedded mouse liver.
Twist1/2 antibody (GTX127310) dilution: 1:500.

Antigen Retrieval: Trilogy™ (EDTA based, pH 8.0) buffer, 15min

3 / 16
Anti-Twist1/2 antibody used in Western Blot (WB). GTX127310
GTX127310 WB Image

Twist1/2 antibody detects Twist1 protein by western blot analysis. Non-transfected (-) and Twist1-transfected (+) 293T whole cell extracts (30 μg) were separated by 12% SDS-PAGE, and the membrane was blotted with Twist1/2 antibody (GTX127310) diluted at 1:5000. The HRP-conjugated anti-rabbit IgG antibody (GTX213110-01) was used to detect the primary antibody.

4 / 16
Anti-Twist1/2 antibody used in IHC (Paraffin sections) (IHC-P). GTX127310
GTX127310 IHC-P Image

Twist1/2 antibody detects Twist1/2 protein at nucleus on rat fore brain by immunohistochemical analysis.
Sample: Paraffin-embedded rat fore brain.
Twist1/2 antibody (GTX127310) dilution: 1:500.

Antigen Retrieval: Trilogy™ (EDTA based, pH 8.0) buffer, 15min

5 / 16
Anti-Twist1/2 antibody used in IHC (Paraffin sections) (IHC-P). GTX127310
GTX127310 IHC-P Image

Twist1/2 antibody detects Twist1/2 protein at nucleus on mouse prostate by immunohistochemical analysis.
Sample: Paraffin-embedded mouse prostate.
Twist1/2 antibody (GTX127310) dilution: 1:500.

Antigen Retrieval: Trilogy™ (EDTA based, pH 8.0) buffer, 15min

6 / 16
Anti-Twist1/2 antibody used in Western Blot (WB). GTX127310
GTX127310 WB Image

Various tissue extracts (50 μg) were separated by 12% SDS-PAGE, and the membrane was blotted with Twist1/2 antibody (GTX127310) diluted at 1:1000. The HRP-conjugated anti-rabbit IgG antibody (GTX213110-01) was used to detect the primary antibody.

7 / 16
Anti-Twist1/2 antibody used in Western Blot (WB). GTX127310
GTX127310 WB Image

The data was published in the journal Sci Rep in 2017. PMID: 28134285

8 / 16
Anti-Twist1/2 antibody used in Western Blot (WB). GTX127310
GTX127310 WB Image

The data was published in the journal PLoS One in 2017. PMID: 29182685

9 / 16
Anti-Twist1/2 antibody used in Western Blot (WB). GTX127310
GTX127310 WB Image

The data was published in the journal Cell Death Dis in 2015. PMID: 26136074

10 / 16
Anti-Twist1/2 antibody used in Western Blot (WB). GTX127310
GTX127310 WB Image

The data was published in the journal Sci Rep in 2019.PMID: 30816208

11 / 16
Anti-Twist1/2 antibody used in Western Blot (WB). GTX127310
GTX127310 WB Image

The data was published in the journal Biomolecules in 2019.PMID: 31877715

12 / 16
Anti-Twist1/2 antibody used in Western Blot (WB). GTX127310
GTX127310 WB Image

The data was published in the journal Sci Rep in 2019.PMID: 30816208

13 / 16
Anti-Twist1/2 antibody used in Western Blot (WB). GTX127310
GTX127310 WB Image

The data was published in the journal Oncotarget in 2016.PMID: 26840566

14 / 16
Anti-Twist1/2 antibody used in Western Blot (WB). GTX127310
GTX127310 WB Image

The data was published in the journal Front Oncol in 2019. PMID: 31440468

15 / 16
Anti-Twist1/2 antibody used in Immunohistochemistry (IHC). GTX127310
GTX127310 IHC Image

The data was published in the journal Sci Adv in 2019.PMID: 31309148

16 / 16
Anti-Twist1/2 antibody used in Western Blot (WB). GTX127310
Anti-Twist1/2 antibody used in Western Blot (WB). GTX127310
Anti-Twist1/2 antibody used in IHC (Paraffin sections) (IHC-P). GTX127310
Anti-Twist1/2 antibody used in Western Blot (WB). GTX127310
Anti-Twist1/2 antibody used in IHC (Paraffin sections) (IHC-P). GTX127310
Anti-Twist1/2 antibody used in IHC (Paraffin sections) (IHC-P). GTX127310
Anti-Twist1/2 antibody used in Western Blot (WB). GTX127310
Anti-Twist1/2 antibody used in Western Blot (WB). GTX127310
Anti-Twist1/2 antibody used in Western Blot (WB). GTX127310
Anti-Twist1/2 antibody used in Western Blot (WB). GTX127310
Anti-Twist1/2 antibody used in Western Blot (WB). GTX127310
Anti-Twist1/2 antibody used in Western Blot (WB). GTX127310
Anti-Twist1/2 antibody used in Western Blot (WB). GTX127310
Anti-Twist1/2 antibody used in Western Blot (WB). GTX127310
Anti-Twist1/2 antibody used in Western Blot (WB). GTX127310
Anti-Twist1/2 antibody used in Immunohistochemistry (IHC). GTX127310
  • Host
    Rabbit
  • Clonality
    Polyclonal
  • Isotype
    IgG
  • Applications
    WB IHC-P IHC
  • Reactivity
    Human, Mouse, Rat, Drosophila
See all Twist1/2 products