Ubiquitin antibody [GT7811]

Cat. No. GTX630148
Cat. No.  GTX630148
Anti-Ubiquitin antibody [GT7811] used in Western Blot (WB). GTX630148
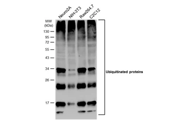
GTX630148 WB Image

Various whole cell extracts (30 μg) were separated by 15% SDS-PAGE, and the membrane was blotted with Ubiquitin antibody [GT7811] (GTX630148) diluted at 1:5000.

1 / 8
Anti-Ubiquitin antibody [GT7811] used in Western Blot (WB). GTX630148
GTX630148 WB Image

Untreated (–) and treated (+) HeLa whole cell extracts (30 μg) were separated by 12% SDS-PAGE, and the membranes were blotted with Ubiquitin antibody [GT7811] (GTX630148) diluted at 1:500 and competitor's antibody (sc-53509) diluted at 1:500. The HRP-conjugated anti-mouse IgG antibody (GTX213111-01) was used to detect the primary antibody.

*The competitor is not affiliated with GeneTex and does not endorse this product.

2 / 8
Anti-Ubiquitin antibody [GT7811] used in Western Blot (WB). GTX630148
GTX630148 WB Image

293T whole cell extracts and 293T exosome extract (2.6 μg) were separated by 15% SDS-PAGE, and the membrane was blotted with Ubiquitin antibody [GT7811] (GTX630148) diluted at 1:250. The HRP-conjugated anti-mouse IgG antibody (GTX213111-01) was used to detect the primary antibody.

3 / 8
Anti-Ubiquitin antibody [GT7811] used in Western Blot (WB). GTX630148
GTX630148 WB Image

Ubiquitin antibody detects Ubiquitin protein by western blot analysis. Non-transfected (-) and -transfected (+, including Myc-tag) 293T whole cell extracts (30 μg) were separated by 15% SDS-PAGE, and the membrane was blotted with Ubiquitin antibody (GTX630148) diluted by 1:10000.

4 / 8
Anti-Ubiquitin antibody [GT7811] used in Western Blot (WB). GTX630148
GTX630148 WB Image

Various whole cell extracts (30 μg) were separated by 12% SDS-PAGE, and the membrane was blotted with Ubiquitin antibody [GT7811] (GTX630148) diluted at 1:1000. The HRP-conjugated anti-mouse IgG antibody (GTX213111-01) was used to detect the primary antibody.

5 / 8
Anti-Ubiquitin antibody [GT7811] used in Western Blot (WB). GTX630148
GTX630148 WB Image

Various whole cell extracts (30 μg) were separated by 12% SDS-PAGE, and the membrane was blotted with Ubiquitin antibody [GT7811] (GTX630148) diluted at 1:1000. The HRP-conjugated anti-mouse IgG antibody (GTX213111-01) was used to detect the primary antibody.

6 / 8
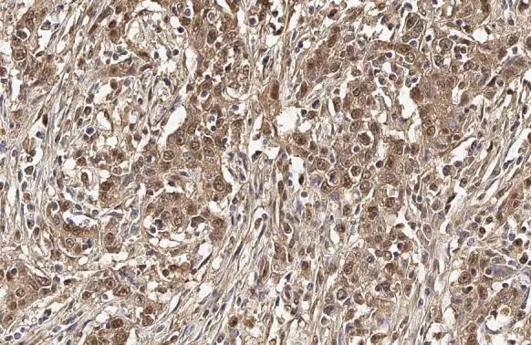
Anti-Ubiquitin antibody [GT7811] used in IHC (Paraffin sections) (IHC-P). GTX630148
GTX630148 IHC-P Image

Ubiquitin antibody [GT7811] detects Ubiquitin protein at cytoplasm and nucleus by immunohistochemical analysis.
Sample: Paraffin-embedded human endometrial carcinoma.
Ubiquitin stained by Ubiquitin antibody [GT7811] (GTX630148) diluted at 1:200.
Antigen Retrieval: Citrate buffer, pH 6.0, 15 min

7 / 8
Anti-Ubiquitin antibody [GT7811] used in IHC (Paraffin sections) (IHC-P). GTX630148
GTX630148 IHC-P Image

Ubiquitin antibody [GT7811] detects Ubiquitin protein at cytoplasm and nucleus by immunohistochemical analysis.
Sample: Paraffin-embedded human breast carcinoma.
Ubiquitin stained by Ubiquitin antibody [GT7811] (GTX630148) diluted at 1:200.
Antigen Retrieval: Citrate buffer, pH 6.0, 15 min

8 / 8
Anti-Ubiquitin antibody [GT7811] used in Western Blot (WB). GTX630148
Anti-Ubiquitin antibody [GT7811] used in Western Blot (WB). GTX630148
Anti-Ubiquitin antibody [GT7811] used in Western Blot (WB). GTX630148
Anti-Ubiquitin antibody [GT7811] used in Western Blot (WB). GTX630148
Anti-Ubiquitin antibody [GT7811] used in Western Blot (WB). GTX630148
Anti-Ubiquitin antibody [GT7811] used in Western Blot (WB). GTX630148
Anti-Ubiquitin antibody [GT7811] used in IHC (Paraffin sections) (IHC-P). GTX630148
Anti-Ubiquitin antibody [GT7811] used in IHC (Paraffin sections) (IHC-P). GTX630148
  • Host
    Mouse
  • Clonality
    Monoclonal
  • Clone Name
    GT7811
  • Isotype
    IgG2b
  • Applications
    WB ICC/IF IHC-P IHC-Fr
  • Reactivity
    Species independent
See all Ubiquitin products