VE-Cadherin antibody [GT1369]

Cat. No. GTX633705
Cat. No.  GTX633705
Anti-VE-Cadherin antibody [GT1369] used in IHC (Paraffin sections) (IHC-P). GTX633705
GTX633705 IHC-P Image

VE-Cadherin antibody [GT1369] detects VE-Cadherin protein by immunohistochemical analysis.
Sample: Paraffin-embedded human artery.
Green: ICAM1 [CD54] (GTX644012) diluted at 1:200.
Red: VE-Cadherin stained by VE-Cadherin antibody [GT1369] (GTX633705) diluted at 1:200.
Blue: Fluoroshield with DAPI (GTX30920).
Antigen Retrieval: Citrate buffer, pH 6.0, 15 min

1 / 4
Anti-VE-Cadherin antibody [GT1369] used in Immunocytochemistry/ Immunofluorescence (ICC/IF). GTX633705
GTX633705 ICC/IF Image

VE-cadherin antibody [GT1369] detects VE-cadherin protein at cell membrane by immunofluorescent analysis.
Sample: HUVEC cells were fixed in 4% paraformaldehyde at RT for 15 min.
Green: VE-cadherin protein stained by VE-cadherin antibody [GT1369] (GTX633705) diluted at 1:500.
Blue: Hoechst 33342 staining.
Scale bar = 10 μm.

2 / 4
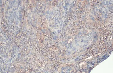
Anti-VE-Cadherin antibody [GT1369] used in IHC (Paraffin sections) (IHC-P). GTX633705
GTX633705 IHC-P Image

VE-Cadherin antibody [GT1369] detects VE-Cadherin protein at cytoplasm by immunohistochemical analysis.
Sample: Paraffin-embedded human cervical carcinoma.
VE-Cadherin stained by VE-Cadherin antibody [GT1369] (GTX633705) diluted at 1:200.
Antigen Retrieval: Citrate buffer, pH 6.0, 15 min

3 / 4
Anti-VE-Cadherin antibody [GT1369] used in Western Blot (WB). GTX633705
GTX633705 WB Image

Whole cell extract (30 μg) was separated by 7.5% SDS-PAGE, and the membrane was blotted with VE-Cadherin antibody [GT1369] (GTX633705) diluted at 1:1000. The HRP-conjugated anti-mouse IgG antibody (GTX213111-01) was used to detect the primary antibody, and the signal was developed with Trident ECL plus-Enhanced.

4 / 4
Anti-VE-Cadherin antibody [GT1369] used in IHC (Paraffin sections) (IHC-P). GTX633705
Anti-VE-Cadherin antibody [GT1369] used in Immunocytochemistry/ Immunofluorescence (ICC/IF). GTX633705
Anti-VE-Cadherin antibody [GT1369] used in IHC (Paraffin sections) (IHC-P). GTX633705
Anti-VE-Cadherin antibody [GT1369] used in Western Blot (WB). GTX633705
  • Host
    Mouse
  • Clonality
    Monoclonal
  • Clone Name
    GT1369
  • Isotype
    IgG1
  • Applications
    WB ICC/IF IHC-P
  • Reactivity
    Human, Mouse
See all VE-Cadherin products