ZO-1 antibody [N2C1], Internal

Cat. No. GTX108627
Cat. No.  GTX108627
Anti-ZO-1 antibody [N2C1], Internal used in Western Blot (WB). GTX108627
GTX108627 WB Image

Non-transfected (–) and transfected (+) HeLa whole cell extracts (30 μg) were separated by 5% SDS-PAGE, and the membrane was blotted with ZO-1 antibody [N2C1], Internal (GTX108627) diluted at 1:500. The HRP-conjugated anti-rabbit IgG antibody (GTX213110-01) was used to detect the primary antibody.

1 / 7
Anti-ZO-1 antibody [N2C1], Internal used in Western Blot (WB). GTX108627
GTX108627 WB Image

Various whole cell extracts (30 μg) were separated by 5% SDS-PAGE, and the membrane was blotted with ZO-1 antibody [N2C1], Internal (GTX108627) diluted at 1:1000. The HRP-conjugated anti-rabbit IgG antibody (GTX213110-01) was used to detect the primary antibody.

2 / 7
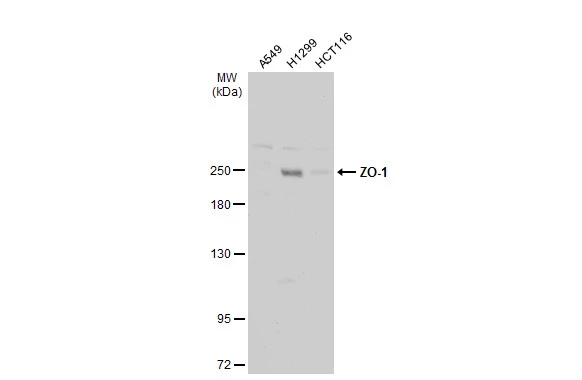
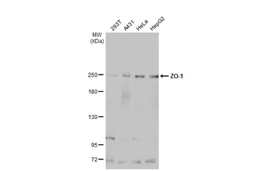
Anti-ZO-1 antibody [N2C1], Internal used in Western Blot (WB). GTX108627
GTX108627 WB Image

Various whole cell extracts (30 μg) were separated by 5% SDS-PAGE, and the membrane was blotted with ZO-1 antibody [N2C1], Internal (GTX108627) diluted at 1:1000. The HRP-conjugated anti-rabbit IgG antibody (GTX213110-01) was used to detect the primary antibody.

3 / 7
Anti-ZO-1 antibody [N2C1], Internal used in Western Blot (WB). GTX108627
GTX108627 WB Image

Various whole cell extracts (30 μg) were separated by 5% SDS-PAGE, and the membrane was blotted with ZO-1 antibody [N2C1], Internal (GTX108627) diluted at 1:2000. The HRP-conjugated anti-rabbit IgG antibody (GTX213110-01) was used to detect the primary antibody.

4 / 7
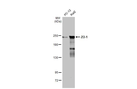
Anti-ZO-1 antibody [N2C1], Internal used in Western Blot (WB). GTX108627
GTX108627 WB Image

Various whole cell extracts (30 μg) were separated by 5% SDS-PAGE, and the membrane was blotted with ZO-1 antibody [N2C1], Internal (GTX108627) diluted at 1:2000. The HRP-conjugated anti-rabbit IgG antibody (GTX213110-01) was used to detect the primary antibody.

5 / 7
Anti-ZO-1 antibody [N2C1], Internal used in Immunocytochemistry/ Immunofluorescence (ICC/IF). GTX108627
GTX108627 ICC/IF Image

ZO-1 antibody [N2C1], Internal detects TJP1 protein at junction by confocal immunofluorescent analysis.
Sample: A431 cells were fixed in ice-cold MeOH for 5 min.
Green: TJP1 protein stained by ZO-1 antibody [N2C1], Internal (GTX108627) diluted at 1:500.
Blue: Hoechst 33342 staining.
[Images captured by Olympus FV10i Confocal Laser Scanning Microscope]

6 / 7
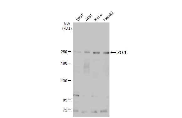
Anti-ZO-1 antibody [N2C1], Internal used in Western Blot (WB). GTX108627
GTX108627 WB Image

The data was published in the 2019 in Cancers (Basel). PMID: 31861872

7 / 7
Anti-ZO-1 antibody [N2C1], Internal used in Western Blot (WB). GTX108627
Anti-ZO-1 antibody [N2C1], Internal used in Western Blot (WB). GTX108627
Anti-ZO-1 antibody [N2C1], Internal used in Western Blot (WB). GTX108627
Anti-ZO-1 antibody [N2C1], Internal used in Western Blot (WB). GTX108627
Anti-ZO-1 antibody [N2C1], Internal used in Western Blot (WB). GTX108627
Anti-ZO-1 antibody [N2C1], Internal used in Immunocytochemistry/ Immunofluorescence (ICC/IF). GTX108627
Anti-ZO-1 antibody [N2C1], Internal used in Western Blot (WB). GTX108627
  • Host
    Rabbit
  • Clonality
    Polyclonal
  • Isotype
    IgG
  • Applications
    WB ICC/IF IHC-Fr
  • Reactivity
    Human, Rat
See all ZO-1 products