alpha Smooth Muscle Actin antibody [HL1419]

Cat. No. GTX636885
Cat. No.  GTX636885
Anti-alpha Smooth Muscle Actin antibody [HL1419] used in IHC (Frozen sections) (IHC-Fr). GTX636885
GTX636885 IHC-Fr Image

alpha Smooth Muscle Actin antibody [HL1419] detects alpha Smooth Muscle Actin protein by immunohistochemical analysis.
Sample: Frozen-sectioned mouse duodenum.
Green: alpha Smooth Muscle Actin stained by alpha Smooth Muscle Actin antibody [HL1419] (GTX636885) diluted at 1:250.
Red: Vimentin antibody [GT812] (GTX629744) diluted at 1:1000.
Blue: Hoechst 33342 staining.

1 / 5
Anti-alpha Smooth Muscle Actin antibody [HL1419] used in IHC (Paraffin sections) (IHC-P). GTX636885
GTX636885 IHC-P Image

alpha Smooth Muscle Actin antibody [HL1419] detects alpha Smooth Muscle Actin protein at cytoplasm by immunohistochemical analysis.
Sample: Paraffin-embedded mouse smooth muscle.
alpha Smooth Muscle Actin stained by alpha Smooth Muscle Actin antibody [HL1419] (GTX636885) diluted at 1:100.
Antigen Retrieval: Citrate buffer, pH 6.0, 15 min

2 / 5
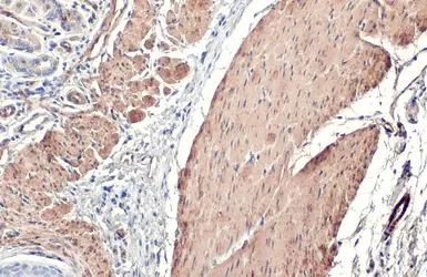
Anti-alpha Smooth Muscle Actin antibody [HL1419] used in IHC (Paraffin sections) (IHC-P). GTX636885
GTX636885 IHC-P Image

alpha Smooth Muscle Actin antibody [HL1419] detects alpha Smooth Muscle Actin protein by immunohistochemical analysis.
Sample: Paraffin-embedded rat tissues.
alpha Smooth Muscle Actin stained by alpha Smooth Muscle Actin antibody [HL1419] (GTX636885) diluted at 1:100.
Antigen Retrieval: Citrate buffer, pH 6.0, 15 min

3 / 5
Anti-alpha Smooth Muscle Actin antibody [HL1419] used in IHC (Paraffin sections) (IHC-P). GTX636885
GTX636885 IHC-P Image

alpha Smooth Muscle Actin antibody [HL1419] detects alpha Smooth Muscle Actin protein by immunohistochemical analysis.
Sample: Paraffin-embedded mouse tissues.
alpha Smooth Muscle Actin stained by alpha Smooth Muscle Actin antibody [HL1419] (GTX636885) diluted at 1:100.
Antigen Retrieval: Citrate buffer, pH 6.0, 15 min

4 / 5
Anti-alpha Smooth Muscle Actin antibody [HL1419] used in Western Blot (WB). GTX636885
GTX636885 WB Image

Various tissue extracts (50 μg) were separated by 10% SDS-PAGE, and the membrane was blotted with alpha Smooth Muscle Actin antibody [HL1419] (GTX636885) diluted at 1:10000. The HRP-conjugated anti-rabbit IgG antibody (GTX213110-01) was used to detect the primary antibody.

5 / 5
Anti-alpha Smooth Muscle Actin antibody [HL1419] used in IHC (Frozen sections) (IHC-Fr). GTX636885
Anti-alpha Smooth Muscle Actin antibody [HL1419] used in IHC (Paraffin sections) (IHC-P). GTX636885
Anti-alpha Smooth Muscle Actin antibody [HL1419] used in IHC (Paraffin sections) (IHC-P). GTX636885
Anti-alpha Smooth Muscle Actin antibody [HL1419] used in IHC (Paraffin sections) (IHC-P). GTX636885
Anti-alpha Smooth Muscle Actin antibody [HL1419] used in Western Blot (WB). GTX636885
  • Host
    Rabbit
  • Clonality
    Monoclonal
  • Clone Name
    HL1419
  • Isotype
    IgG
  • Applications
    WB IHC-P IHC-Fr
  • Reactivity
    Mouse, Rat
See all alpha Smooth Muscle Actin products