alpha Tubulin antibody [GT114]

Cat. No. GTX628802
Cat. No.  GTX628802
Anti-alpha Tubulin antibody [GT114] used in Western Blot (WB). GTX628802
GTX628802 WB Image

293T whole cell extracts were separated by 10% SDS-PAGE, and the membrane was blotted with alpha Tubulin antibody [GT114] (GTX628802) diluted at 1:10000. The HRP-conjugated anti-mouse IgG antibody (GTX213111-01) was used to detect the primary antibody.

1 / 37
Anti-alpha Tubulin antibody [GT114] used in Immunocytochemistry/ Immunofluorescence (ICC/IF). GTX628802
GTX628802 ICC/IF Image

alpha Tubulin antibody [GT114] detects alpha Tubulin protein at cytoskeleton by immunofluorescent analysis.
Sample: HeLa cells were fixed in 4% paraformaldehyde at RT for 15 min.
Green: alpha Tubulin stained by alpha Tubulin antibody [GT114] (GTX628802) diluted at 1:1000.
Blue: Fluoroshield with DAPI (GTX30920).

2 / 37
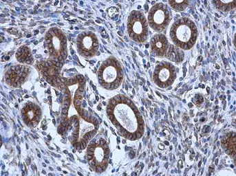
Anti-alpha Tubulin antibody [GT114] used in IHC (Paraffin sections) (IHC-P). GTX628802
GTX628802 IHC-P Image

alpha Tubulin antibody [GT114] detects alpha Tubulin protein at cytoplasm in human cervix by immunohistochemical analysis.
Sample: Paraffin-embedded human cervix.
alpha Tubulin antibody [GT114] (GTX628802) diluted at 1:500.

Antigen Retrieval: Citrate buffer, pH 6.0, 15 min

3 / 37
Anti-alpha Tubulin antibody [GT114] used in Western Blot (WB). GTX628802
GTX628802 WB Image

alpha Tubulin antibody [GT114] detects TUBA1B protein by western blot analysis.
A. 30 μg zebrafish eye lysate/extract
10% SDS-PAGE
alpha Tubulin antibody [GT114] (GTX628802) dilution: 1:1000
The HRP-conjugated anti-mouse IgG antibody (GTX213111-01) was used to detect the primary antibody.

4 / 37
Anti-alpha Tubulin antibody [GT114] used in Western Blot (WB). GTX628802
GTX628802 WB Image

alpha Tubulin antibody [GT114] detects TUBA1B protein by western blot analysis.
A. 30 μg 293T whole cell lysate/extract
B. 30 μg NIH-3T3 whole cell lysate/extract
C. 30 μg mouse brain lysate/extract
D. 30 μg PC-12 whole cell lysate/extract
E. 30 μg rat brain lysate/extract
F. 30 μg drosophila lysae/extract
10% SDS-PAGE
alpha Tubulin antibody [GT114] (GTX628802) dilution: 1:5000
The HRP-conjugated anti-mouse IgG antibody (GTX213111-01) was used to detect the primary antibody.

5 / 37
Anti-alpha Tubulin antibody [GT114] used in Immunocytochemistry/ Immunofluorescence (ICC/IF). GTX628802
GTX628802 ICC/IF Image

alpha Tubulin antibody [GT114] detects alpha Tubulin protein expression by immunofluorescent analysis.
Sample: Cultured rat E18 primary cortical neuron, DIV 8. Cells were fixed in 4% paraformaldehyde at RT for 15 min.
Green: alpha Tubulin protein stained by alpha Tubulin antibody [GT114] (GTX628802) diluted at 1:250.
Red: NeuN, stained by NeuN antibody (GTX132974) diluted at 1:250.
Blue: Fluoroshield with DAPI (GTX30920).

6 / 37
Anti-alpha Tubulin antibody [GT114] used in IHC (Frozen sections) (IHC-Fr). GTX628802
GTX628802 IHC-Fr Image

Immunofluorescence photomicrographs of frozen sections of mouse brain.
Green: alpha Tubulin antibody [GT114] (GTX628802) diluted at 1:200. The signal was developed using goat anti-rmouse IgG antibody (Dylight488) (GTX213111-04).
Blue: Nuclear staining with Hoechst 33342.

7 / 37
Anti-alpha Tubulin antibody [GT114] used in Western Blot (WB). GTX628802
GTX628802 WB Image

Various whole cell extracts (30 μg) were separated by 10% SDS-PAGE, and the membrane was blotted with alpha Tubulin antibody [GT114] (GTX628802) diluted at 1:10000. The HRP-conjugated anti-mouse IgG antibody (GTX213111-01) was used to detect the primary antibody.

8 / 37
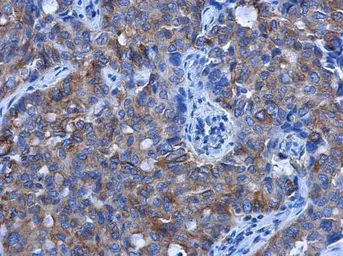
Anti-alpha Tubulin antibody [GT114] used in IHC (Paraffin sections) (IHC-P). GTX628802
GTX628802 IHC-P Image

alpha Tubulin antibody [GT114] detects alpha Tubulin protein at cytoplasm in human lung cancer by immunohistochemical analysis.
Sample: Paraffin-embedded human lung cancer.
alpha Tubulin antibody [GT114] (GTX628802) diluted at 1:500.

Antigen Retrieval: Citrate buffer, pH 6.0, 15 min

9 / 37
Anti-alpha Tubulin antibody [GT114] used in Immunocytochemistry/ Immunofluorescence (ICC/IF). GTX628802
GTX628802 ICC/IF Image

TUBA1B antibody detects TUBA1B protein at Cytoskeleton by immunofluorescent analysis.
Sample: HeLa cells were fixed in -20ºC 100% methanol for 5 min.
Green: TUBA1B protein stained by TUBA1B antibody (GTX628802) diluted at 1:500.
Blue: Hoechst 33342 staining.

10 / 37
Anti-alpha Tubulin antibody [GT114] used in Western Blot (WB). GTX628802
GTX628802 WB Image

Whole cell extract (30 μg) was separated by 10% SDS-PAGE, and the membrane was blotted with alpha Tubulin antibody [GT114] (GTX628802) diluted at 1:10000. The HRP-conjugated anti-mouse IgG antibody (GTX213111-01) was used to detect the primary antibody.

11 / 37
Anti-alpha Tubulin antibody [GT114] used in Western Blot (WB). GTX628802
GTX628802 WB Image

alpha Tubulin antibody detects alpha Tubulin protein by western blot analysis. Varied amount of 293T Whole cell extracts was separated by 10% SDS-PAGE, and the membrane was blotted with alpha Tubulin antibody (GTX628802) at a dilution of 1:10000. The HRP-conjugated anti-mouse IgG antibody (GTX213111-01) was used to detect the primary antibody.

12 / 37
Anti-alpha Tubulin antibody [GT114] used in IHC (Paraffin sections) (IHC-P). GTX628802
GTX628802 IHC-P Image

alpha Tubulin antibody [GT114] detects alpha Tubulin protein at cytoplasm in mouse colon by immunohistochemical analysis.
Sample: Paraffin-embedded mouse colon.
Red: alpha Tubulin antibody [GT114] (GTX628802) diluted at 1:500.
Green: beta Catenin antibody [N1N2-2] (GTX101435) diluted at 1:500.
Blue: Hoechst 33342 staining.
Antigen Retrieval: Trilogy™ (EDTA based, pH 8.0) buffer, 15min

13 / 37
Anti-alpha Tubulin antibody [GT114] used in Western Blot (WB). GTX628802
GTX628802 WB Image

Various whole cell extracts (30 μg) were separated by 10% SDS-PAGE, and the membrane was blotted with alpha Tubulin antibody [GT114] (GTX628802) diluted at 1:10000. The HRP-conjugated anti-mouse IgG antibody (GTX213111-01) was used to detect the primary antibody.

14 / 37
Anti-alpha Tubulin antibody [GT114] used in Western Blot (WB). GTX628802
GTX628802 WB Image

The data was published in the journal Nat Commun in 2016.PMID: 27221592

15 / 37
Anti-alpha Tubulin antibody [GT114] used in Western Blot (WB). GTX628802
GTX628802 WB Image

The data was published in the journal J Cell Mol Med in 2020. PMID: 31821701

16 / 37
Anti-alpha Tubulin antibody [GT114] used in Western Blot (WB). GTX628802
GTX628802 WB Image

The data was published in the journal PLoS One in 2015. PMID: 25811469

17 / 37
Anti-alpha Tubulin antibody [GT114] used in Western Blot (WB). GTX628802
GTX628802 WB Image

The data was published in the journal J Cell Mol Med in 2020. PMID: 31821701

18 / 37
Anti-alpha Tubulin antibody [GT114] used in Western Blot (WB). GTX628802
GTX628802 WB Image

The data was published in the journal PLoS One in 2015. PMID: 25811469

19 / 37
Anti-alpha Tubulin antibody [GT114] used in Western Blot (WB). GTX628802
GTX628802 WB Image

The data was published in the journal Nat Commun in 2020. PMID: 32005813

20 / 37
Anti-alpha Tubulin antibody [GT114] used in Western Blot (WB). GTX628802
GTX628802 WB Image

The data was published in the journal Toxins (Basel) in 2019. PMID: 31159487

21 / 37
Anti-alpha Tubulin antibody [GT114] used in Western Blot (WB). GTX628802
GTX628802 WB Image

The data was published in the journal Cell Biosci in 2019. PMID: 31044068

22 / 37
Anti-alpha Tubulin antibody [GT114] used in Western Blot (WB). GTX628802
GTX628802 WB Image

The data was published in the journal PLoS One in 2014. PMID: 25000307

23 / 37
Anti-alpha Tubulin antibody [GT114] used in Western Blot (WB). GTX628802
GTX628802 WB Image

The data was published in the journal Genome Biol in 2018.PMID: 29548335

24 / 37
Anti-alpha Tubulin antibody [GT114] used in Western Blot (WB). GTX628802
GTX628802 WB Image

The data was published in the journal PLoS Biol in 2019.PMID: 30883547

25 / 37
Anti-alpha Tubulin antibody [GT114] used in Western Blot (WB). GTX628802
GTX628802 WB Image

The data was published in the journal Nat Commun in 2019.PMID: 31278365

26 / 37
Anti-alpha Tubulin antibody [GT114] used in Western Blot (WB). GTX628802
GTX628802 WB Image

The data was published in the journal Physiol Rep in 2017.PMID: 28408640

27 / 37
Anti-alpha Tubulin antibody [GT114] used in Western Blot (WB). GTX628802
GTX628802 WB Image

The data was published in the journal PLoS One in 2017.PMID: 28467493

28 / 37
Anti-alpha Tubulin antibody [GT114] used in Western Blot (WB). GTX628802
GTX628802 WB Image

The data was published in the journal Biomolecules in 2020.PMID: 32635653

29 / 37
Anti-alpha Tubulin antibody [GT114] used in Western Blot (WB). GTX628802
GTX628802 WB Image

The data was published in the journal Genome Biol in 2018.PMID: 29548335

30 / 37
Anti-alpha Tubulin antibody [GT114] used in Western Blot (WB). GTX628802
GTX628802 WB Image

The data was published in the journal Biomolecules in 2020.PMID: 32635653

31 / 37
Anti-alpha Tubulin antibody [GT114] used in Western Blot (WB). GTX628802
GTX628802 WB Image

The data was published in the journal PLoS Biol in 2019.PMID: 30883547

32 / 37
Anti-alpha Tubulin antibody [GT114] used in Western Blot (WB). GTX628802
GTX628802 WB Image

The data was published in the journal Life Sci Alliance in 2019.PMID: 31767615

33 / 37
Anti-alpha Tubulin antibody [GT114] used in Western Blot (WB). GTX628802
GTX628802 WB Image

The data was published in the 2022 in Int J Mol Sci. PMID: 35055077

34 / 37
Anti-alpha Tubulin antibody [GT114] used in Immunocytochemistry/ Immunofluorescence (ICC/IF). GTX628802
GTX628802 ICC/IF Image

The data was published in the 2018 in Sci Rep. PMID: 30459446

35 / 37
Anti-alpha Tubulin antibody [GT114] used in Western Blot (WB). GTX628802
GTX628802 WB Image

The data was published in the 2022 in Int J Mol Sci. PMID: 35055077

36 / 37
Anti-alpha Tubulin antibody [GT114] used in Western Blot (WB). GTX628802
GTX628802 WB Image

The data was published in the 2018 in Sci Rep. PMID: 30459446

37 / 37
Anti-alpha Tubulin antibody [GT114] used in Western Blot (WB). GTX628802
Anti-alpha Tubulin antibody [GT114] used in Immunocytochemistry/ Immunofluorescence (ICC/IF). GTX628802
Anti-alpha Tubulin antibody [GT114] used in IHC (Paraffin sections) (IHC-P). GTX628802
Anti-alpha Tubulin antibody [GT114] used in Western Blot (WB). GTX628802
Anti-alpha Tubulin antibody [GT114] used in Western Blot (WB). GTX628802
Anti-alpha Tubulin antibody [GT114] used in Immunocytochemistry/ Immunofluorescence (ICC/IF). GTX628802
Anti-alpha Tubulin antibody [GT114] used in IHC (Frozen sections) (IHC-Fr). GTX628802
Anti-alpha Tubulin antibody [GT114] used in Western Blot (WB). GTX628802
Anti-alpha Tubulin antibody [GT114] used in IHC (Paraffin sections) (IHC-P). GTX628802
Anti-alpha Tubulin antibody [GT114] used in Immunocytochemistry/ Immunofluorescence (ICC/IF). GTX628802
Anti-alpha Tubulin antibody [GT114] used in Western Blot (WB). GTX628802
Anti-alpha Tubulin antibody [GT114] used in Western Blot (WB). GTX628802
Anti-alpha Tubulin antibody [GT114] used in IHC (Paraffin sections) (IHC-P). GTX628802
Anti-alpha Tubulin antibody [GT114] used in Western Blot (WB). GTX628802
Anti-alpha Tubulin antibody [GT114] used in Western Blot (WB). GTX628802
Anti-alpha Tubulin antibody [GT114] used in Western Blot (WB). GTX628802
Anti-alpha Tubulin antibody [GT114] used in Western Blot (WB). GTX628802
Anti-alpha Tubulin antibody [GT114] used in Western Blot (WB). GTX628802
Anti-alpha Tubulin antibody [GT114] used in Western Blot (WB). GTX628802
Anti-alpha Tubulin antibody [GT114] used in Western Blot (WB). GTX628802
Anti-alpha Tubulin antibody [GT114] used in Western Blot (WB). GTX628802
Anti-alpha Tubulin antibody [GT114] used in Western Blot (WB). GTX628802
Anti-alpha Tubulin antibody [GT114] used in Western Blot (WB). GTX628802
Anti-alpha Tubulin antibody [GT114] used in Western Blot (WB). GTX628802
Anti-alpha Tubulin antibody [GT114] used in Western Blot (WB). GTX628802
Anti-alpha Tubulin antibody [GT114] used in Western Blot (WB). GTX628802
Anti-alpha Tubulin antibody [GT114] used in Western Blot (WB). GTX628802
Anti-alpha Tubulin antibody [GT114] used in Western Blot (WB). GTX628802
Anti-alpha Tubulin antibody [GT114] used in Western Blot (WB). GTX628802
Anti-alpha Tubulin antibody [GT114] used in Western Blot (WB). GTX628802
Anti-alpha Tubulin antibody [GT114] used in Western Blot (WB). GTX628802
Anti-alpha Tubulin antibody [GT114] used in Western Blot (WB). GTX628802
Anti-alpha Tubulin antibody [GT114] used in Western Blot (WB). GTX628802
Anti-alpha Tubulin antibody [GT114] used in Western Blot (WB). GTX628802
Anti-alpha Tubulin antibody [GT114] used in Immunocytochemistry/ Immunofluorescence (ICC/IF). GTX628802
Anti-alpha Tubulin antibody [GT114] used in Western Blot (WB). GTX628802
Anti-alpha Tubulin antibody [GT114] used in Western Blot (WB). GTX628802
  • Host
    Mouse
  • Clonality
    Monoclonal
  • Clone Name
    GT114
  • Isotype
    IgG2a
  • Applications
    WB ICC/IF IHC-P IHC-Fr FCM
  • Reactivity
    Human, Mouse, Rat, Zebrafish, Goat, Drosophila, Crucian carp
Summary
alpha Tubulin antibody [GT114] detects alpha Tubulin, a cytoskeletal protein widely expressed in cells that is commonly used as a loading control for western blots. The predicted molecular weight of alpha Tubulin protein is 50 kDa. This is a well-cited mouse monoclonal antibody validated for multiple applications including western blot, immunohistochemistry, and immunocytochemistry.
See all alpha Tubulin products