beta Actin antibody

Cat. No. GTX109639
Cat. No.  GTX109639
Anti-beta Actin antibody used in Western Blot (WB). GTX109639
GTX109639 WB Image

Sample (30 μg of whole cell lysate)
A: 293T
B: NTH-3T3
C: mouse brain
D: PC-12
E: Rat brain
F: drosophila
10% SDS PAGE
GTX109639 diluted at 1:10000
The HRP-conjugated anti-rabbit IgG antibody (GTX213110-01) was used to detect the primary antibody.

1 / 97
Anti-beta Actin antibody used in Western Blot (WB). GTX109639
GTX109639 WB Image

Non-transfected (–) and transfected (+) 293T whole cell extracts (10 μg) were separated by 10% SDS-PAGE, and the membrane was blotted with beta Actin antibody (GTX109639) diluted at 1:15000. The HRP-conjugated anti-rabbit IgG antibody (GTX213110-01) was used to detect the primary antibody.

2 / 97
Anti-beta Actin antibody used in Western Blot (WB). GTX109639
GTX109639 WB Image

Various whole cell extracts (30 μg) were separated by 10% SDS-PAGE, and the membrane was blotted with beta Actin antibody (GTX109639) diluted at 1:10000. The HRP-conjugated anti-rabbit IgG antibody (GTX213110-01) was used to detect the primary antibody.

3 / 97
Anti-beta Actin antibody used in Western Blot (WB). GTX109639
GTX109639 WB Image

Various whole cell extracts were separated by 10% SDS-PAGE, and the membrane was blotted with beta Actin antibody (GTX109639) diluted at 1:10000. The HRP-conjugated anti-rabbit IgG antibody (GTX213110-01) was used to detect the primary antibody.

4 / 97
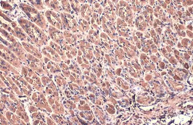
Anti-beta Actin antibody used in IHC (Paraffin sections) (IHC-P). GTX109639
GTX109639 IHC-P Image

beta Actin antibody detects beta Actin protein at cytoplasm by immunohistochemical analysis.
Sample: Paraffin-embedded mouse stomach.
beta Actin stained by beta Actin antibody (GTX109639) diluted at 1:500.
Antigen Retrieval: Citrate buffer, pH 6.0, 15 min

5 / 97
Anti-beta Actin antibody used in Western Blot (WB). GTX109639
GTX109639 WB Image

Sample (30 μg of whole cell lysate)
A: Jurkat
B: Raji
C: 293T
D: A431
E: HeLa
F: HepG2
G: H1299
H: HCT116
I: MCF-7
J: NT2D1
K: PC-3
L: U87-MG
10% SDS PAGE
GTX109639 diluted at 1:10000
The HRP-conjugated anti-rabbit IgG antibody (GTX213110-01) was used to detect the primary antibody.

6 / 97
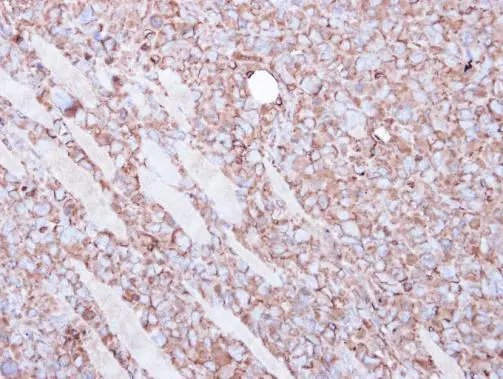
Anti-beta Actin antibody used in IHC (Paraffin sections) (IHC-P). GTX109639
GTX109639 IHC-P Image

beta Actin antibody detects beta Actin protein at cell membrane and cytoplasm by immunohistochemical analysis.
Sample: Paraffin-embedded rat liver.
beta Actin stained by beta Actin antibody (GTX109639) diluted at 1:500.
Antigen Retrieval: Citrate buffer, pH 6.0, 15 min

7 / 97
Anti-beta Actin antibody used in Western Blot (WB). GTX109639
GTX109639 WB Image

Sample (30 μg of whole cell lysate)
A: 293T
B: A431
C: Jurkat
D: Raji
10% SDS PAGE
GTX109639 diluted at 1:1000
The HRP-conjugated anti-rabbit IgG antibody (GTX213110-01) was used to detect the primary antibody.

8 / 97
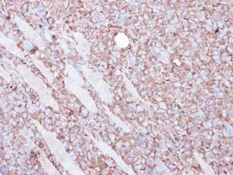
Anti-beta Actin antibody used in IHC (Paraffin sections) (IHC-P). GTX109639
GTX109639 IHC-P Image

Immunohistochemical analysis of paraffin-embedded H1299 xenograft, using Beta actin(GTX109639) antibody at 1:100 dilution.
Antigen Retrieval: Trilogy™ (EDTA based, pH 8.0) buffer, 15min

9 / 97
Anti-beta Actin antibody used in Western Blot (WB). GTX109639
GTX109639 WB Image

Sample (10 μg of whole cell lysate)
A: Yeast lysate
7.5% SDS PAGE
GTX109639 diluted at 1:1000
The HRP-conjugated anti-rabbit IgG antibody (GTX213110-01) was used to detect the primary antibody.

10 / 97
Anti-beta Actin antibody used in Western Blot (WB). GTX109639
GTX109639 WB Image

beta Actin antibody detects ACTB protein by western blot analysis.
A. 50 μg mouse brain lysate/extract
B. 50 μg mouse kidney lysate/extract
C. 50 μg mouse lung lysate/extract
D. 50 μg mouse testis lysate/extract
10% SDS-PAGE
beta Actin antibody (GTX109639) dilution: 1:10000
The HRP-conjugated anti-rabbit IgG antibody (GTX213110-01) was used to detect the primary antibody.

11 / 97
Anti-beta Actin antibody used in Immunocytochemistry/ Immunofluorescence (ICC/IF). GTX109639
GTX109639 ICC/IF Image

beta Actin antibody detects beta Actin protein at cytoskeleton by immunofluorescent analysis.
Sample: HeLa cells were fixed in ice-cold MeOH for 5 min.
Green: beta Actin stained by beta Actin antibody (GTX109639) diluted at 1:500.
Blue: Fluoroshield with DAPI (GTX30920).

12 / 97
Anti-beta Actin antibody used in Western Blot (WB). GTX109639
GTX109639 WB Image

beta Actin antibody detects ACTB protein by western blot analysis.
A. 30 μg PC-12 whole cell lysate/extract
B. 30 μg Rat-2 whole cell lysate/extract
10% SDS-PAGE
beta Actin antibody (GTX109639) dilution: 1:5000
The HRP-conjugated anti-rabbit IgG antibody (GTX213110-01) was used to detect the primary antibody.

13 / 97
Anti-beta Actin antibody used in Western Blot (WB). GTX109639
GTX109639 WB Image

Sample (whole cell lysate)
A: Candida albicans (sc5314) 20ug
B: Candida albicans (sc5314) 40ug
10% SDS PAGE
GTX109639 diluted at 1:4000
The HRP-conjugated anti-rabbit IgG antibody (GTX213110-01) was used to detect the primary antibody.

14 / 97
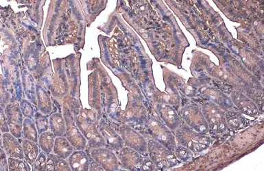
Anti-beta Actin antibody used in IHC (Paraffin sections) (IHC-P). GTX109639
GTX109639 IHC-P Image

beta Actin antibody detects beta Actin protein at cell membrane and cytoplasm by immunohistochemical analysis.
Sample: Paraffin-embedded mouse intestine.
beta Actin stained by beta Actin antibody (GTX109639) diluted at 1:500.
Antigen Retrieval: Citrate buffer, pH 6.0, 15 min

15 / 97
Anti-beta Actin antibody used in Western Blot (WB). GTX109639
GTX109639 WB Image

The data was published in the 2019 in Cancers (Basel). PMID: 31861872

16 / 97
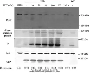
Anti-beta Actin antibody used in Western Blot (WB). GTX109639
GTX109639 WB Image

The data was published in the 2020 in Neural Plast. PMID: 33082778

17 / 97
Anti-beta Actin antibody used in Western Blot (WB). GTX109639
GTX109639 WB Image

The data was published in the 2020 in Neural Plast. PMID: 33082778

18 / 97
Anti-beta Actin antibody used in Western Blot (WB). GTX109639
GTX109639 WB Image

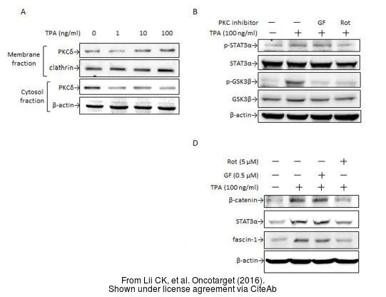
The data was published in the journal Oncotarget in 2016. PMID: 27036017

19 / 97
Anti-beta Actin antibody used in Western Blot (WB). GTX109639
GTX109639 WB Image

The data was published in the journal Oncotarget in 2016. PMID: 27036017

20 / 97
Anti-beta Actin antibody used in Western Blot (WB). GTX109639
GTX109639 WB Image

The data was published in the journal Oncotarget in 2016. PMID: 27036017

21 / 97
Anti-beta Actin antibody used in Western Blot (WB). GTX109639
GTX109639 WB Image

The data was published in the journal Oncotarget in 2016. PMID: 27036017

22 / 97
Anti-beta Actin antibody used in Western Blot (WB). GTX109639
GTX109639 WB Image

The data was published in the journal Oncotarget in 2016. PMID: 27036017

23 / 97
Anti-beta Actin antibody used in Western Blot (WB). GTX109639
GTX109639 WB Image

The data was published in the journal Oncotarget in 2016. PMID: 27036017

24 / 97
Anti-beta Actin antibody used in Western Blot (WB). GTX109639
GTX109639 WB Image

The data was published in the journal Oncotarget in 2016. PMID: 27036017

25 / 97
Anti-beta Actin antibody used in Western Blot (WB). GTX109639
GTX109639 WB Image

The data was published in the journal Int J Mol Sci in 2019. PMID: 31323961

26 / 97
Anti-beta Actin antibody used in Western Blot (WB). GTX109639
GTX109639 WB Image

The data was published in the journal Materials (Basel) in 2018. PMID: 30223515

27 / 97
Anti-beta Actin antibody used in Western Blot (WB). GTX109639
GTX109639 WB Image

The data was published in the journal Int J Mol Sci in 2019. PMID: 31323961

28 / 97
Anti-beta Actin antibody used in Western Blot (WB). GTX109639
GTX109639 WB Image

The data was published in the journal Int J Mol Sci in 2019. PMID: 31323961

29 / 97
Anti-beta Actin antibody used in Western Blot (WB). GTX109639
GTX109639 WB Image

The data was published in the journal Int J Mol Sci in 2019. PMID: 31323961

30 / 97
Anti-beta Actin antibody used in Western Blot (WB). GTX109639
GTX109639 WB Image

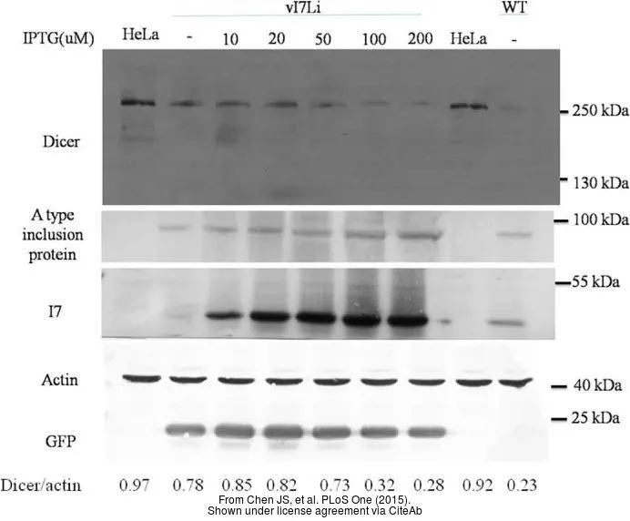
The data was published in the journal PLoS One in 2014. PMID: 25437003

31 / 97
Anti-beta Actin antibody used in Western Blot (WB). GTX109639
GTX109639 WB Image

The data was published in the journal Oncotarget in 2015. PMID: 25869099

32 / 97
Anti-beta Actin antibody used in Western Blot (WB). GTX109639
GTX109639 WB Image

The data was published in the journal J Cancer in 2019. PMID: 31762816

33 / 97
Anti-beta Actin antibody used in Western Blot (WB). GTX109639
GTX109639 WB Image

The data was published in the journal Sci Rep in 2018. PMID: 29968775

34 / 97
Anti-beta Actin antibody used in Western Blot (WB). GTX109639
GTX109639 WB Image

The data was published in the journal Cancer Med in 2019. PMID: 31274246

35 / 97
Anti-beta Actin antibody used in Western Blot (WB). GTX109639
GTX109639 WB Image

The data was published in the journal Oncotarget in 2015. PMID: 25869099

36 / 97
Anti-beta Actin antibody used in Western Blot (WB). GTX109639
GTX109639 WB Image

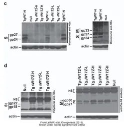
The data was published in the journal Oncogenesis in 2015. PMID: 26690546

37 / 97
Anti-beta Actin antibody used in Western Blot (WB). GTX109639
GTX109639 WB Image

The data was published in the journal Sci Rep in 2018. PMID: 29968775

38 / 97
Anti-beta Actin antibody used in Western Blot (WB). GTX109639
GTX109639 WB Image

The data was published in the journal Biosci Rep in 2018. PMID: 29789400

39 / 97
Anti-beta Actin antibody used in Western Blot (WB). GTX109639
GTX109639 WB Image

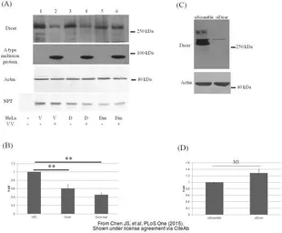
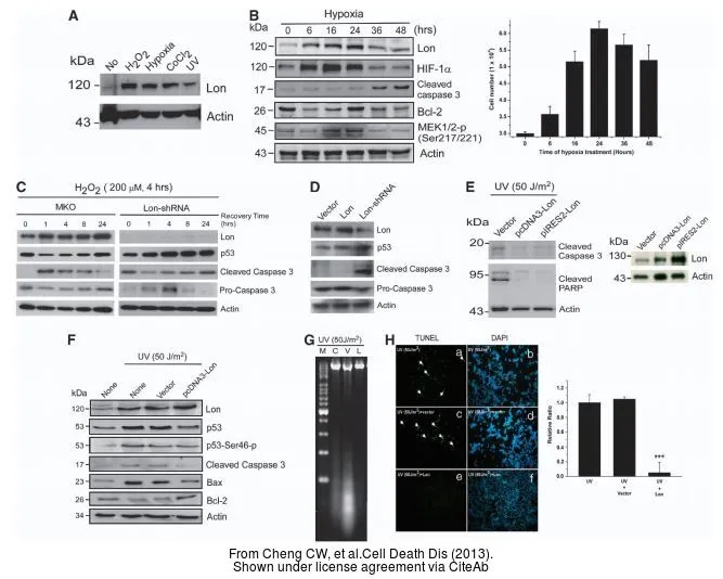
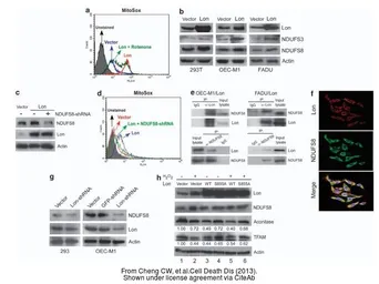
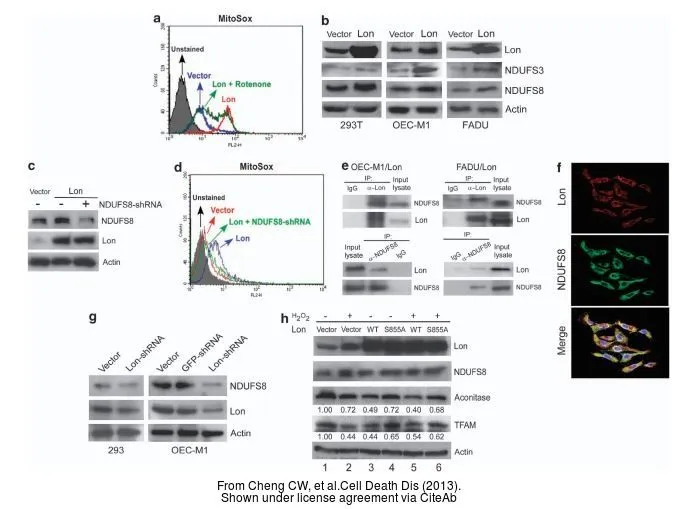
The data was published in the journal Cell Death Dis in 2013. PMID: 23788038

40 / 97
Anti-beta Actin antibody used in Western Blot (WB). GTX109639
GTX109639 WB Image

The data was published in the journal PLoS One in 2014. PMID: 24533157

41 / 97
Anti-beta Actin antibody used in Western Blot (WB). GTX109639
GTX109639 WB Image

The data was published in the journal Int J Mol Sci in 2017. PMID: 28837077

42 / 97
Anti-beta Actin antibody used in Western Blot (WB). GTX109639
GTX109639 WB Image

The data was published in the journal Cell Death Dis in 2013. PMID: 23788038

43 / 97
Anti-beta Actin antibody used in Western Blot (WB). GTX109639
GTX109639 WB Image

The data was published in the journal Cell Death Dis in 2013. PMID: 23788038

44 / 97
Anti-beta Actin antibody used in Western Blot (WB). GTX109639
GTX109639 WB Image

The data was published in the journal Cell Death Dis in 2013. PMID: 23788038

45 / 97
Anti-beta Actin antibody used in Western Blot (WB). GTX109639
GTX109639 WB Image

The data was published in the journal PLoS One in 2015. PMID: 26161782

46 / 97
Anti-beta Actin antibody used in Western Blot (WB). GTX109639
GTX109639 WB Image

The data was published in the journal PLoS One in 2015. PMID: 25815818

47 / 97
Anti-beta Actin antibody used in Western Blot (WB). GTX109639
GTX109639 WB Image

The data was published in the journal J Transl Med in 2017. PMID: 28472954

48 / 97
Anti-beta Actin antibody used in Western Blot (WB). GTX109639
GTX109639 WB Image

The data was published in the journal PLoS One in 2015. PMID: 25815818

49 / 97
Anti-beta Actin antibody used in Western Blot (WB). GTX109639
GTX109639 WB Image

The data was published in the journal PLoS One in 2015. PMID: 25815818

50 / 97
Anti-beta Actin antibody used in Western Blot (WB). GTX109639
GTX109639 WB Image

The data was published in the journal Sci Rep in 2016. PMID: 26838546

51 / 97
Anti-beta Actin antibody used in Western Blot (WB). GTX109639
GTX109639 WB Image

The data was published in the journal J Transl Med in 2017. PMID: 28472954

52 / 97
Anti-beta Actin antibody used in Western Blot (WB). GTX109639
GTX109639 WB Image

The data was published in the journal J Transl Med in 2017. PMID: 28472954

53 / 97
Anti-beta Actin antibody used in Western Blot (WB). GTX109639
GTX109639 WB Image

The data was published in the journal PLoS One in 2015. PMID: 25815818

54 / 97
Anti-beta Actin antibody used in Western Blot (WB). GTX109639
GTX109639 WB Image

The data was published in the journal J Transl Med in 2017. PMID: 28472954

55 / 97
Anti-beta Actin antibody used in Western Blot (WB). GTX109639
GTX109639 WB Image

The data was published in the journal PLoS One in 2017. PMID: 29016672

56 / 97
Anti-beta Actin antibody used in Western Blot (WB). GTX109639
GTX109639 WB Image

The data was published in the journal PLoS One in 2016. PMID: 27404495

57 / 97
Anti-beta Actin antibody used in Western Blot (WB). GTX109639
GTX109639 WB Image

The data was published in the journal PLoS Genet in 2015. PMID: 25760041

58 / 97
Anti-beta Actin antibody used in Western Blot (WB). GTX109639
GTX109639 WB Image

The data was published in the journal Sci Rep in 2017. PMID: 28325912

59 / 97
Anti-beta Actin antibody used in Western Blot (WB). GTX109639
GTX109639 WB Image

The data was published in the journal ScientificWorldJournal in 2014. PMID: 24578622

60 / 97
Anti-beta Actin antibody used in Western Blot (WB). GTX109639
GTX109639 WB Image

The data was published in the journal Int J Mol Sci in 2017. PMID: 28926934

61 / 97
Anti-beta Actin antibody used in Western Blot (WB). GTX109639
GTX109639 WB Image

The data was published in the journal PLoS One in 2016. PMID: 27281159

62 / 97
Anti-beta Actin antibody used in Western Blot (WB). GTX109639
GTX109639 WB Image

The data was published in the journal Int J Mol Sci in 2019.PMID: 31744099

63 / 97
Anti-beta Actin antibody used in Western Blot (WB). GTX109639
GTX109639 WB Image

The data was published in the journal Int J Mol Sci in 2019.PMID: 31744099

64 / 97
Anti-beta Actin antibody used in Western Blot (WB). GTX109639
GTX109639 WB Image

The data was published in the journal J Clin Med in 2019.PMID: 31167519

65 / 97
Anti-beta Actin antibody used in Western Blot (WB). GTX109639
GTX109639 WB Image

The data was published in the journal Cell Death Dis in 2016.PMID: 27831565

66 / 97
Anti-beta Actin antibody used in Western Blot (WB). GTX109639
GTX109639 WB Image

The data was published in the journal Exp Ther Med in 2014.PMID: 24396418

67 / 97
Anti-beta Actin antibody used in Western Blot (WB). GTX109639
GTX109639 WB Image

The data was published in the journal Oncogenesis in 2016.PMID: 27918551

68 / 97
Anti-beta Actin antibody used in Western Blot (WB). GTX109639
GTX109639 WB Image

The data was published in the journal PLoS Biol in 2018.PMID: 29337987

69 / 97
Anti-beta Actin antibody used in Western Blot (WB). GTX109639
GTX109639 WB Image

The data was published in the journal BMC Nephrol in 2018.PMID: 30005632

70 / 97
Anti-beta Actin antibody used in Western Blot (WB). GTX109639
GTX109639 WB Image

The data was published in the journal Oncogenesis in 2016.PMID: 27918551

71 / 97
Anti-beta Actin antibody used in Western Blot (WB). GTX109639
GTX109639 WB Image

The data was published in the journal Sci Rep in 2020.PMID: 32286426

72 / 97
Anti-beta Actin antibody used in Western Blot (WB). GTX109639
GTX109639 WB Image

The data was published in the journal Int J Mol Sci in 2019.PMID: 31744099

73 / 97
Anti-beta Actin antibody used in Western Blot (WB). GTX109639
GTX109639 WB Image

The data was published in the journal Nat Commun in 2019.PMID: 31409793

74 / 97
Anti-beta Actin antibody used in Western Blot (WB). GTX109639
GTX109639 WB Image

The data was published in the journal Nat Commun in 2019.PMID: 31409793

75 / 97
Anti-beta Actin antibody used in Western Blot (WB). GTX109639
GTX109639 WB Image

The data was published in the journal Oncogenesis in 2016.PMID: 27918551

76 / 97
Anti-beta Actin antibody used in Western Blot (WB). GTX109639
GTX109639 WB Image

The data was published in the journal PLoS Biol in 2018.PMID: 29337987

77 / 97
Anti-beta Actin antibody used in Western Blot (WB). GTX109639
GTX109639 WB Image

The data was published in the journal Sci Rep in 2017.PMID: 28169314

78 / 97
Anti-beta Actin antibody used in Western Blot (WB). GTX109639
GTX109639 WB Image

The data was published in the journal J Int Soc Sports Nutr in 2015.PMID: 25792976

79 / 97
Anti-beta Actin antibody used in Western Blot (WB). GTX109639
GTX109639 WB Image

The data was published in the journal Int J Mol Sci in 2019.PMID: 31744099

80 / 97
Anti-beta Actin antibody used in Western Blot (WB). GTX109639
GTX109639 WB Image

The data was published in the journal J Biomed Sci in 2018.PMID: 29361943

81 / 97
Anti-beta Actin antibody used in Western Blot (WB). GTX109639
GTX109639 WB Image

The data was published in the journal Sci Rep in 2019.PMID: 31501500

82 / 97
Anti-beta Actin antibody used in Western Blot (WB). GTX109639
GTX109639 WB Image

The data was published in the journal Aging Dis in 2019.PMID: 31164994

83 / 97
Anti-beta Actin antibody used in Western Blot (WB). GTX109639
GTX109639 WB Image

The data was published in the journal Oncogenesis in 2016.PMID: 27918551

84 / 97
Anti-beta Actin antibody used in Western Blot (WB). GTX109639
GTX109639 WB Image

The data was published in the journal Oncogenesis in 2016.PMID: 27918551

85 / 97
Anti-beta Actin antibody used in Western Blot (WB). GTX109639
GTX109639 WB Image

The data was published in the journal PLoS One in 2013.PMID: 23691025

86 / 97
Anti-beta Actin antibody used in Western Blot (WB). GTX109639
GTX109639 WB Image

The data was published in the journal Aging Dis in 2019.PMID: 31164994

87 / 97
Anti-beta Actin antibody used in Western Blot (WB). GTX109639
GTX109639 WB Image

The data was published in the journal PLoS One in 2013.PMID: 23691025

88 / 97
Anti-beta Actin antibody used in Western Blot (WB). GTX109639
GTX109639 WB Image

The data was published in the journal Int J Mol Sci in 2019.PMID: 31744099

89 / 97
Anti-beta Actin antibody used in Western Blot (WB). GTX109639
GTX109639 WB Image

The data was published in the 2020 in Viruses. PMID: 33003584

90 / 97
Anti-beta Actin antibody used in Western Blot (WB). GTX109639
GTX109639 WB Image

The data was published in the 2020 in Neural Plast. PMID: 33082778

91 / 97
Anti-beta Actin antibody used in Western Blot (WB). GTX109639
GTX109639 WB Image

The data was published in the 2019 in Cancers (Basel). PMID: 31861872

92 / 97
Anti-beta Actin antibody used in Western Blot (WB). GTX109639
GTX109639 WB Image

The data was published in the 2020 in Antioxidants (Basel). PMID: 33203103

93 / 97
Anti-beta Actin antibody used in Western Blot (WB). GTX109639
GTX109639 WB Image

The data was published in the 2020 in Antioxidants (Basel). PMID: 33203103

94 / 97
Anti-beta Actin antibody used in Western Blot (WB). GTX109639
GTX109639 WB Image

The data was published in the 2020 in PLoS One. PMID: 33382817

95 / 97
Anti-beta Actin antibody used in Western Blot (WB). GTX109639
GTX109639 WB Image

The data was published in the 2022 in Elife. PMID: 35416774

96 / 97
Anti-beta Actin antibody used in Western Blot (WB). GTX109639
GTX109639 WB Image

The data was published in the 2022 in Nutrients. PMID: 35684095

97 / 97
Anti-beta Actin antibody used in Western Blot (WB). GTX109639
Anti-beta Actin antibody used in Western Blot (WB). GTX109639
Anti-beta Actin antibody used in Western Blot (WB). GTX109639
Anti-beta Actin antibody used in Western Blot (WB). GTX109639
Anti-beta Actin antibody used in IHC (Paraffin sections) (IHC-P). GTX109639
Anti-beta Actin antibody used in Western Blot (WB). GTX109639
Anti-beta Actin antibody used in IHC (Paraffin sections) (IHC-P). GTX109639
Anti-beta Actin antibody used in Western Blot (WB). GTX109639
Anti-beta Actin antibody used in IHC (Paraffin sections) (IHC-P). GTX109639
Anti-beta Actin antibody used in Western Blot (WB). GTX109639
Anti-beta Actin antibody used in Western Blot (WB). GTX109639
Anti-beta Actin antibody used in Immunocytochemistry/ Immunofluorescence (ICC/IF). GTX109639
Anti-beta Actin antibody used in Western Blot (WB). GTX109639
Anti-beta Actin antibody used in Western Blot (WB). GTX109639
Anti-beta Actin antibody used in IHC (Paraffin sections) (IHC-P). GTX109639
Anti-beta Actin antibody used in Western Blot (WB). GTX109639
Anti-beta Actin antibody used in Western Blot (WB). GTX109639
Anti-beta Actin antibody used in Western Blot (WB). GTX109639
Anti-beta Actin antibody used in Western Blot (WB). GTX109639
Anti-beta Actin antibody used in Western Blot (WB). GTX109639
Anti-beta Actin antibody used in Western Blot (WB). GTX109639
Anti-beta Actin antibody used in Western Blot (WB). GTX109639
Anti-beta Actin antibody used in Western Blot (WB). GTX109639
Anti-beta Actin antibody used in Western Blot (WB). GTX109639
Anti-beta Actin antibody used in Western Blot (WB). GTX109639
Anti-beta Actin antibody used in Western Blot (WB). GTX109639
Anti-beta Actin antibody used in Western Blot (WB). GTX109639
Anti-beta Actin antibody used in Western Blot (WB). GTX109639
Anti-beta Actin antibody used in Western Blot (WB). GTX109639
Anti-beta Actin antibody used in Western Blot (WB). GTX109639
Anti-beta Actin antibody used in Western Blot (WB). GTX109639
Anti-beta Actin antibody used in Western Blot (WB). GTX109639
Anti-beta Actin antibody used in Western Blot (WB). GTX109639
Anti-beta Actin antibody used in Western Blot (WB). GTX109639
Anti-beta Actin antibody used in Western Blot (WB). GTX109639
Anti-beta Actin antibody used in Western Blot (WB). GTX109639
Anti-beta Actin antibody used in Western Blot (WB). GTX109639
Anti-beta Actin antibody used in Western Blot (WB). GTX109639
Anti-beta Actin antibody used in Western Blot (WB). GTX109639
Anti-beta Actin antibody used in Western Blot (WB). GTX109639
Anti-beta Actin antibody used in Western Blot (WB). GTX109639
Anti-beta Actin antibody used in Western Blot (WB). GTX109639
Anti-beta Actin antibody used in Western Blot (WB). GTX109639
Anti-beta Actin antibody used in Western Blot (WB). GTX109639
Anti-beta Actin antibody used in Western Blot (WB). GTX109639
Anti-beta Actin antibody used in Western Blot (WB). GTX109639
Anti-beta Actin antibody used in Western Blot (WB). GTX109639
Anti-beta Actin antibody used in Western Blot (WB). GTX109639
Anti-beta Actin antibody used in Western Blot (WB). GTX109639
Anti-beta Actin antibody used in Western Blot (WB). GTX109639
Anti-beta Actin antibody used in Western Blot (WB). GTX109639
Anti-beta Actin antibody used in Western Blot (WB). GTX109639
Anti-beta Actin antibody used in Western Blot (WB). GTX109639
Anti-beta Actin antibody used in Western Blot (WB). GTX109639
Anti-beta Actin antibody used in Western Blot (WB). GTX109639
Anti-beta Actin antibody used in Western Blot (WB). GTX109639
Anti-beta Actin antibody used in Western Blot (WB). GTX109639
Anti-beta Actin antibody used in Western Blot (WB). GTX109639
Anti-beta Actin antibody used in Western Blot (WB). GTX109639
Anti-beta Actin antibody used in Western Blot (WB). GTX109639
Anti-beta Actin antibody used in Western Blot (WB). GTX109639
Anti-beta Actin antibody used in Western Blot (WB). GTX109639
Anti-beta Actin antibody used in Western Blot (WB). GTX109639
Anti-beta Actin antibody used in Western Blot (WB). GTX109639
Anti-beta Actin antibody used in Western Blot (WB). GTX109639
Anti-beta Actin antibody used in Western Blot (WB). GTX109639
Anti-beta Actin antibody used in Western Blot (WB). GTX109639
Anti-beta Actin antibody used in Western Blot (WB). GTX109639
Anti-beta Actin antibody used in Western Blot (WB). GTX109639
Anti-beta Actin antibody used in Western Blot (WB). GTX109639
Anti-beta Actin antibody used in Western Blot (WB). GTX109639
Anti-beta Actin antibody used in Western Blot (WB). GTX109639
Anti-beta Actin antibody used in Western Blot (WB). GTX109639
Anti-beta Actin antibody used in Western Blot (WB). GTX109639
Anti-beta Actin antibody used in Western Blot (WB). GTX109639
Anti-beta Actin antibody used in Western Blot (WB). GTX109639
Anti-beta Actin antibody used in Western Blot (WB). GTX109639
Anti-beta Actin antibody used in Western Blot (WB). GTX109639
Anti-beta Actin antibody used in Western Blot (WB). GTX109639
Anti-beta Actin antibody used in Western Blot (WB). GTX109639
Anti-beta Actin antibody used in Western Blot (WB). GTX109639
Anti-beta Actin antibody used in Western Blot (WB). GTX109639
Anti-beta Actin antibody used in Western Blot (WB). GTX109639
Anti-beta Actin antibody used in Western Blot (WB). GTX109639
Anti-beta Actin antibody used in Western Blot (WB). GTX109639
Anti-beta Actin antibody used in Western Blot (WB). GTX109639
Anti-beta Actin antibody used in Western Blot (WB). GTX109639
Anti-beta Actin antibody used in Western Blot (WB). GTX109639
Anti-beta Actin antibody used in Western Blot (WB). GTX109639
Anti-beta Actin antibody used in Western Blot (WB). GTX109639
Anti-beta Actin antibody used in Western Blot (WB). GTX109639
Anti-beta Actin antibody used in Western Blot (WB). GTX109639
Anti-beta Actin antibody used in Western Blot (WB). GTX109639
Anti-beta Actin antibody used in Western Blot (WB). GTX109639
Anti-beta Actin antibody used in Western Blot (WB). GTX109639
Anti-beta Actin antibody used in Western Blot (WB). GTX109639
Anti-beta Actin antibody used in Western Blot (WB). GTX109639
  • Host
    Rabbit
  • Clonality
    Polyclonal
  • Isotype
    IgG
  • Applications
    WB ICC/IF IHC-P IHC-Fr IP
  • Reactivity
    Human, Mouse, Rat, Yeast, Sheep, Drosophila, Cat, Dog, Hamster, Chicken, Pig, Monkey, Caenorhabditis elegans, Candida albicans, E. coli, Horse, Mosquito, Rice, Xenopus, Treeshrew, Plant, Worm
Summary
beta-Actin antibody detects beta-actin, a cytoskeletal protein with a predicted molecular weight of 42 kDa. Because of its widespread expression, beta-actin is commonly used as a loading control for various protein assays, particularly western blots, to estimate sample protein amount and quality.
See all beta Actin products