gamma Tubulin antibody

Cat. No. GTX113286
Cat. No.  GTX113286
Anti-gamma Tubulin antibody used in Western Blot (WB). GTX113286
GTX113286 WB Image

Various whole cell extracts (30 μg) were separated by 10% SDS-PAGE, and the membrane was blotted with gamma Tubulin antibody (GTX113286) diluted at 1:1000. The HRP-conjugated anti-rabbit IgG antibody (GTX213110-01) was used to detect the primary antibody.

1 / 12
Anti-gamma Tubulin antibody used in Western Blot (WB). GTX113286
GTX113286 WB Image

Various whole cell extracts (30 μg) were separated by 10% SDS-PAGE, and the membrane was blotted with gamma Tubulin antibody (GTX113286) diluted at 1:1000.

2 / 12
Anti-gamma Tubulin antibody used in Immunocytochemistry/ Immunofluorescence (ICC/IF). GTX113286
GTX113286 ICC/IF Image

gamma Tubulin antibody detects gamma Tubulin protein at centrosome by immunofluorescent analysis.
Sample: HeLa cells were fixed in ice-cold MeOH for 5 min.
Green: gamma Tubulin stained by gamma Tubulin antibody (GTX113286) diluted at 1:1000.
Red: alpha Tubulin, stained by alpha Tubulin antibody [GT114] (GTX628802) diluted at 1:500.
Blue: Fluoroshield with DAPI (GTX30920).

3 / 12
Anti-gamma Tubulin antibody used in Immunoprecipitation (IP). GTX113286
GTX113286 IP Image

Immunoprecipitation of gamma Tubulin protein from Jurkat whole cell extracts using 5 μg of gamma Tubulin antibody (GTX113286).
Western blot analysis was performed using gamma Tubulin antibody (GTX113286).
EasyBlot anti-Rabbit IgG (GTX221666-01) was used as a secondary reagent.

4 / 12
Anti-gamma Tubulin antibody used in Western Blot (WB). GTX113286
GTX113286 WB Image

gamma Tubulin antibody detects gamma Tubulin protein by western blot analysis. NIH3T3 whole cell extracts (30 μg) and rat tissue extracts (50 μg) were separated by 10% SDS-PAGE, and the membrane was blotted with gamma Tubulin antibody (GTX113286) diluted by 1:1000. The HRP-conjugated anti-rabbit IgG antibody (GTX213110-01) was used to detect the primary antibody.

5 / 12
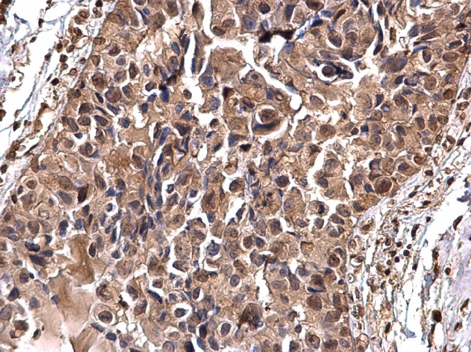
Anti-gamma Tubulin antibody used in IHC (Paraffin sections) (IHC-P). GTX113286
GTX113286 IHC-P Image

gamma Tubulin antibody detects gamma Tubulin protein at nucleus on human breast carcinoma by immunohistochemical analysis.
Sample: Paraffin-embedded human breast carcinoma.
gamma Tubulin antibody (GTX113286) dilution: 1:500.

Antigen Retrieval: Trilogy™ (EDTA based, pH 8.0) buffer, 15min

6 / 12
Anti-gamma Tubulin antibody used in Immunocytochemistry/ Immunofluorescence (ICC/IF). GTX113286
GTX113286 ICC/IF Image

Confocal immunofluorescence analysis (Olympus FV10i) of methanol-fixed 293T, using gamma Tubulin(GTX113286) antibody (Green) at 1:500 dilution. Alpha-tubulin filaments were labeled with GTX11304 (Red) at 1:500.

7 / 12
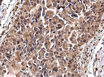
Anti-gamma Tubulin antibody used in IHC (Paraffin sections) (IHC-P). GTX113286
GTX113286 IHC-P Image

The data was published in the journal Nat Commun in 2019. PMID: 31831743

8 / 12
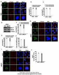
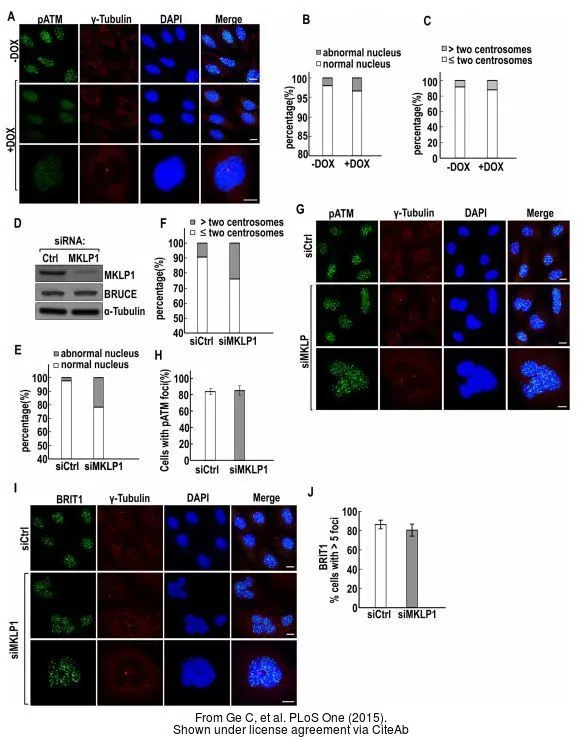
Anti-gamma Tubulin antibody used in Immunocytochemistry/ Immunofluorescence (ICC/IF). GTX113286
GTX113286 ICC/IF Image

The data was published in the journal PLoS One in 2015. PMID: 26683461

9 / 12
Anti-gamma Tubulin antibody used in IHC (Whole mount) (IHC-Wm). GTX113286
GTX113286 IHC-Wm Image

The data was published in the journal PLoS Genet in 2014. PMID: 25340762

10 / 12
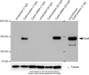
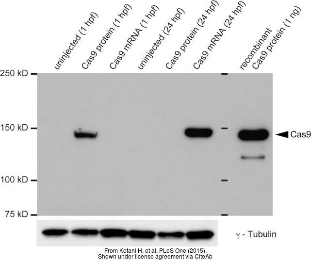
Anti-gamma Tubulin antibody used in Western Blot (WB). GTX113286
GTX113286 WB Image

The data was published in the journal PLoS One in 2015. PMID: 26010089

11 / 12
Anti-gamma Tubulin antibody used in IHC (Whole mount) (IHC-Wm). GTX113286
GTX113286 IHC-Wm Image

The data was published in the journal PLoS Genet in 2014. PMID: 25340762

12 / 12
Anti-gamma Tubulin antibody used in Western Blot (WB). GTX113286
Anti-gamma Tubulin antibody used in Western Blot (WB). GTX113286
Anti-gamma Tubulin antibody used in Immunocytochemistry/ Immunofluorescence (ICC/IF). GTX113286
Anti-gamma Tubulin antibody used in Immunoprecipitation (IP). GTX113286
Anti-gamma Tubulin antibody used in Western Blot (WB). GTX113286
Anti-gamma Tubulin antibody used in IHC (Paraffin sections) (IHC-P). GTX113286
Anti-gamma Tubulin antibody used in Immunocytochemistry/ Immunofluorescence (ICC/IF). GTX113286
Anti-gamma Tubulin antibody used in IHC (Paraffin sections) (IHC-P). GTX113286
Anti-gamma Tubulin antibody used in Immunocytochemistry/ Immunofluorescence (ICC/IF). GTX113286
Anti-gamma Tubulin antibody used in IHC (Whole mount) (IHC-Wm). GTX113286
Anti-gamma Tubulin antibody used in Western Blot (WB). GTX113286
Anti-gamma Tubulin antibody used in IHC (Whole mount) (IHC-Wm). GTX113286
  • Host
    Rabbit
  • Clonality
    Polyclonal
  • Isotype
    IgG
  • Applications
    WB ICC/IF IHC-P IHC-Wm IP IHC (Formalin) IHC
  • Reactivity
    Human, Mouse, Rat, Zebrafish
See all gamma Tubulin products