iNOS antibody

Cat. No. GTX130246
Cat. No.  GTX130246
Anti-iNOS antibody used in IHC (Paraffin sections) (IHC-P). GTX130246
GTX130246 IHC-P Image

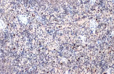
iNOS antibody detects Inos protein at cytoplasm by immunohistochemical analysis.
Sample: Paraffin-embedded mouse spleen.
Inos stained by iNOS antibody (GTX130246) diluted at 1:500.
Antigen Retrieval: Citrate buffer, pH 6.0, 15 min

1 / 9
Anti-iNOS antibody used in Immunocytochemistry/ Immunofluorescence (ICC/IF). GTX130246
GTX130246 ICC/IF Image

iNOS antibody detects iNOS protein by immunofluorescent analysis.
Sample: DIV10 rat E18 primary cortical neuron and glia cells were fixed in 4% paraformaldehyde at RT for 15 min.
Green: iNOS stained by iNOS antibody (GTX130246) diluted at 1:500.
Red: beta Tubulin 3/ Tuj1, stained by beta Tubulin 3/ Tuj1 antibody [GT11710] (GTX631836) diluted at 1:1000.
Blue: Fluoroshield with DAPI (GTX30920).

2 / 9
Anti-iNOS antibody used in Western Blot (WB). GTX130246
GTX130246 WB Image

Untreated (–) and treated (+) Raw264.7 whole cell extracts (30 μg) were separated by 5% SDS-PAGE, and the membrane was blotted with iNOS antibody (GTX130246) diluted at 1:1000. The HRP-conjugated anti-rabbit IgG antibody (GTX213110-01) was used to detect the primary antibody.

3 / 9
Anti-iNOS antibody used in Immunocytochemistry/ Immunofluorescence (ICC/IF). GTX130246
GTX130246 ICC/IF Image

iNOS antibody detects iNOS protein by immunofluorescent analysis.
Sample: Mock and treated Raw264.7 cells were fixed in 4% paraformaldehyde at RT for 15 min.
Green: iNOS stained by iNOS antibody (GTX130246) diluted at 1:500.
Blue: Fluoroshield with DAPI (GTX30920).

4 / 9
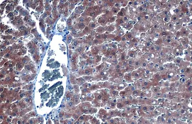
Anti-iNOS antibody used in IHC (Paraffin sections) (IHC-P). GTX130246
GTX130246 IHC-P Image

iNOS antibody detects iNOS protein at cytoplasm by immunohistochemical analysis.
Sample: Paraffin-embedded rat liver.
iNOS stained by iNOS antibody (GTX130246) diluted at 1:500.
Antigen Retrieval: Citrate buffer, pH 6.0, 15 min

5 / 9
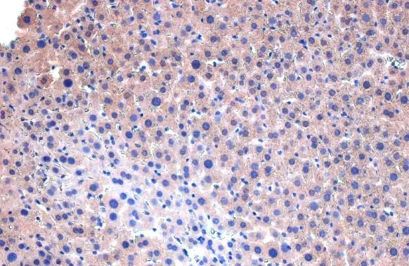
Anti-iNOS antibody used in IHC (Paraffin sections) (IHC-P). GTX130246
GTX130246 IHC-P Image

iNOS antibody detects iNOS protein at cytoplasm by immunohistochemical analysis.
Sample: Paraffin-embedded rat liver.
iNOS stained by iNOS antibody (GTX130246) diluted at 1:500.
Antigen Retrieval: Citrate buffer, pH 6.0, 15 min

6 / 9
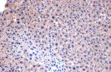
Anti-iNOS antibody used in IHC (Paraffin sections) (IHC-P). GTX130246
GTX130246 IHC-P Image

iNOS antibody detects iNOS protein at cytoplasm by immunohistochemical analysis.
Sample: Paraffin-embedded mouse liver.
iNOS stained by iNOS antibody (GTX130246) diluted at 1:500.
Antigen Retrieval: Citrate buffer, pH 6.0, 15 min

7 / 9
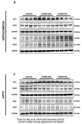
Anti-iNOS antibody used in Western Blot (WB). GTX130246
GTX130246 WB Image

The data was published in the journal Front Cell Neurosci in 2018.PMID: 30483062

8 / 9
Anti-iNOS antibody used in Immunocytochemistry/ Immunofluorescence (ICC/IF). GTX130246
GTX130246 ICC/IF Image

The data was published in the journal PLoS One in 2014. PMID: 25105760

9 / 9
Anti-iNOS antibody used in IHC (Paraffin sections) (IHC-P). GTX130246
Anti-iNOS antibody used in Immunocytochemistry/ Immunofluorescence (ICC/IF). GTX130246
Anti-iNOS antibody used in Western Blot (WB). GTX130246
Anti-iNOS antibody used in Immunocytochemistry/ Immunofluorescence (ICC/IF). GTX130246
Anti-iNOS antibody used in IHC (Paraffin sections) (IHC-P). GTX130246
Anti-iNOS antibody used in IHC (Paraffin sections) (IHC-P). GTX130246
Anti-iNOS antibody used in IHC (Paraffin sections) (IHC-P). GTX130246
Anti-iNOS antibody used in Western Blot (WB). GTX130246
Anti-iNOS antibody used in Immunocytochemistry/ Immunofluorescence (ICC/IF). GTX130246
  • Host
    Rabbit
  • Clonality
    Polyclonal
  • Isotype
    IgG
  • Applications
    WB ICC/IF IHC-P
  • Reactivity
    Mouse, Rat
See all iNOS products