p53 antibody [DO1]

Cat. No. GTX70214
Cat. No.  GTX70214
Anti-p53 antibody [DO1] used in Western Blot (WB). GTX70214
GTX70214 WB Image

Non-transfected (–) and transfected (+) HCT116 whole cell extracts (30 μg) were separated by 10% SDS-PAGE, and the membrane was blotted with p53 antibody [DO1] (GTX70214) diluted at 1:1000. The HRP-conjugated anti-mouse IgG antibody (GTX213111-01) was used to detect the primary antibody.

1 / 13
Anti-p53 antibody [DO1] used in IHC (Paraffin sections) (IHC-P). GTX70214
GTX70214 IHC-P Image

p53 antibody [DO1] detects p53 protein at nucleus by immunohistochemical analysis.
Sample: Paraffin-embedded human pancreatic cancer.
p53 stained by p53 antibody [DO1] (GTX70214) diluted at 1:100.
Antigen Retrieval: Citrate buffer, pH 6.0, 15 min

2 / 13
Anti-p53 antibody [DO1] used in IHC (Paraffin sections) (IHC-P). GTX70214
GTX70214 IHC-P Image

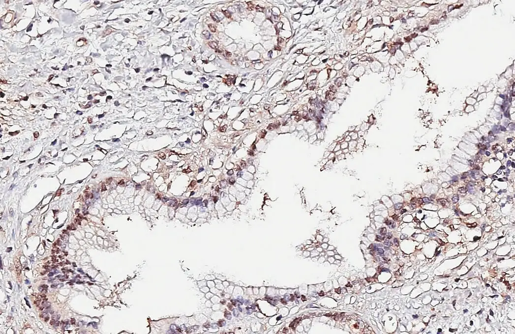
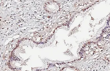
p53 antibody [DO1] detects p53 protein by immunohistochemical analysis.
Sample: Paraffin-embedded human pancreatic cancer.
p53 stained by p53 antibody [DO1] (GTX70214) diluted at 1:50.
Antigen Retrieval: Tris-EDTA buffer, pH 9.0, 15 min

3 / 13
Anti-p53 antibody [DO1] used in Western Blot (WB). GTX70214
GTX70214 WB Image

Various whole cell extracts (30 μg) were separated by 10% SDS-PAGE, and the membrane was blotted with p53 antibody [DO1] (GTX70214) diluted at 1:1000. The HRP-conjugated anti-mouse IgG antibody (GTX213111-01) was used to detect the primary antibody.

4 / 13
Anti-p53 antibody [DO1] used in IHC (Paraffin sections) (IHC-P). GTX70214
GTX70214 IHC-P Image

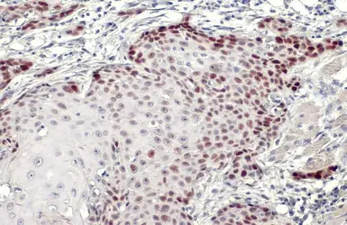
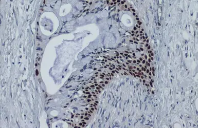
p53 antibody [DO1] detects p53 protein at nucleus by immunohistochemical analysis.
Sample: Paraffin-embedded human oral carcinoma.
p53 stained by p53 antibody [DO1] (GTX70214) diluted at 1:100.
Antigen Retrieval: Citrate buffer, pH 6.0, 15 min

5 / 13
Anti-p53 antibody [DO1] used in IHC (Paraffin sections) (IHC-P). GTX70214
GTX70214 IHC-P Image

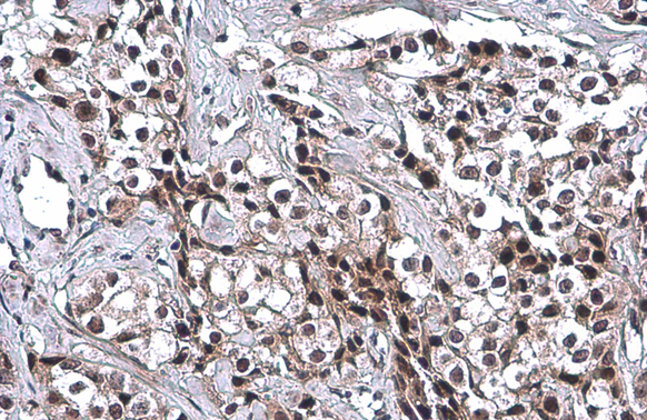
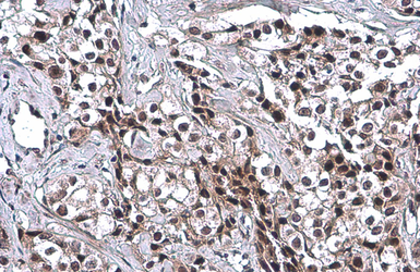
p53 antibody [DO1] detects p53 protein at cytoplasm and nucleus by immunohistochemical analysis.
Sample: Paraffin-embedded human colon cancer.
p53 stained by p53 antibody [DO1] (GTX70214) diluted at 1:100.
Antigen Retrieval: Citrate buffer, pH 6.0, 15 min

6 / 13
Anti-p53 antibody [DO1] used in Western Blot (WB). GTX70214
GTX70214 WB Image

Untreated (–) and treated (+) HCT116 whole cell extracts (30 μg) were separated by 10% SDS-PAGE, and the membrane was blotted with p53 antibody [DO1] (GTX70214) diluted at 1:1000. The HRP-conjugated anti-mouse IgG antibody (GTX213111-01) was used to detect the primary antibody.

7 / 13
Anti-p53 antibody [DO1] used in Immunoprecipitation (IP). GTX70214
GTX70214 IP Image

Immunoprecipitation of p53 protein from 293T whole cell extracts using 5 μg of p53 antibody [DO1] (GTX70214).
Western blot analysis was performed using p53 antibody [D01] (GTX70214).
EasyBlot anti-Mouse IgG (GTX221667-01) was used as a secondary reagent.

8 / 13
Anti-p53 antibody [DO1] used in Western Blot (WB). GTX70214
GTX70214 WB Image

293T whole cell extracts (30 μg) was separated by 10% SDS-PAGE, and the membrane was blotted with p53 antibody [DO1] (GTX70214) diluted at 1:40000. The HRP-conjugated anti-mouse IgG antibody (GTX213111-01) was used to detect the primary antibody.

9 / 13
Anti-p53 antibody [DO1] used in IHC (Paraffin sections) (IHC-P). GTX70214
GTX70214 IHC-P Image

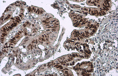
p53 antibody [DO1] detects p53 protein at cytoplasm and nucleus by immunohistochemical analysis.
Sample: Paraffin-embedded human breast carcinoma.
p53 stained by p53 antibody [DO1] (GTX70214) diluted at 1:100.
Antigen Retrieval: Citrate buffer, pH 6.0, 15 min

10 / 13
Anti-p53 antibody [DO1] used in Immunocytochemistry/ Immunofluorescence (ICC/IF). GTX70214
GTX70214 ICC/IF Image

p53 antibody [DO1] detects p53 protein at nucleus by immunofluorescent analysis.
Sample: Mock and treated HCT116 cells were fixed in 4% paraformaldehyde at RT for 15 min.
Green: p53 stained by p53 antibody [DO1] (GTX70214) diluted at 1:500.
Blue: Fluoroshield with DAPI (GTX30920).

11 / 13
Anti-p53 antibody [DO1] used in Western Blot (WB). GTX70214
GTX70214 WB Image

Untreated (–) and treated (+) 293T whole cell extracts (30 μg) were separated by 10% SDS-PAGE, and the membrane was blotted with p53 antibody [DO1] (GTX70214) diluted at 1:1000. The HRP-conjugated anti-mouse IgG antibody (GTX213111-01) was used to detect the primary antibody.

12 / 13
Anti-p53 antibody [DO1] used in Western Blot (WB). GTX70214
GTX70214 WB Image

The data was published in the journal PLoS One in 2014. PMID: 24933654

13 / 13
Anti-p53 antibody [DO1] used in Western Blot (WB). GTX70214
Anti-p53 antibody [DO1] used in IHC (Paraffin sections) (IHC-P). GTX70214
Anti-p53 antibody [DO1] used in IHC (Paraffin sections) (IHC-P). GTX70214
Anti-p53 antibody [DO1] used in Western Blot (WB). GTX70214
Anti-p53 antibody [DO1] used in IHC (Paraffin sections) (IHC-P). GTX70214
Anti-p53 antibody [DO1] used in IHC (Paraffin sections) (IHC-P). GTX70214
Anti-p53 antibody [DO1] used in Western Blot (WB). GTX70214
Anti-p53 antibody [DO1] used in Immunoprecipitation (IP). GTX70214
Anti-p53 antibody [DO1] used in Western Blot (WB). GTX70214
Anti-p53 antibody [DO1] used in IHC (Paraffin sections) (IHC-P). GTX70214
Anti-p53 antibody [DO1] used in Immunocytochemistry/ Immunofluorescence (ICC/IF). GTX70214
Anti-p53 antibody [DO1] used in Western Blot (WB). GTX70214
Anti-p53 antibody [DO1] used in Western Blot (WB). GTX70214
  • Host
    Mouse
  • Clonality
    Monoclonal
  • Clone Name
    DO1
  • Isotype
    IgG2a
  • Applications
    WB ICC/IF IHC-P IHC-Fr FCM IP ELISA
  • Reactivity
    Human, Mouse
Summary
p53 antibody recognizes p53 protein, which has a predicted molecular weight of 44 kDa but is typically detected by western blot at 53 kDa. p53, known widely as a tumor suppressor, plays critical roles in various cellular processes including cell cycle regulation, DNA repair, and apoptosis. p53 is mutated in many human cancers.
See all p53 products