Viruses are small infectious agents that exist in the gray area between "living" and "nonliving" entities. In contrast to most bacteria, fungi, or parasites, viruses are completely dependent on the host cell for their replication, hijacking the cell's biochemical machinery through the actions of viral genome-encoded factors. The fundamental structure of the viral particle includes the DNA or RNA genome within a protein coat, or capsid. This capsid is, for some viruses, enclosed within a lipid envelope usually derived from the host cell membrane. Attachment of a virus to a specific receptor on a host cell leads to internalization and frequently the initiation of a new round of viral replication.
There are more than 200 virus species that can infect humans, not including many others that affect humanity by targeting plants and animals used by people. Included in this viral pathogen list are the influenza viruses, dengue virus, Japanese encephalitis virus (JEV), hepatitis viruses (e.g., HCV & HBV), enterovirus (EV71, EV68, and coxsackievirus) and Zika virus. GeneTex is proud to offer an extensive catalog of antibody reagents that can facilitate your research into these and other viruses.




|
|
|
![Chikungunya Virus nsP2 antibody [HL1488] (GTX636962)](/upload/media/research/Infectious-Diseases/homepage/data/dataImg_250x250_03.webp) |
|
Chikungunya Virus nsP2 antibody [HL1488]
|
|
GTX636962
|
|

|
|
|
|
| |
|
|
|
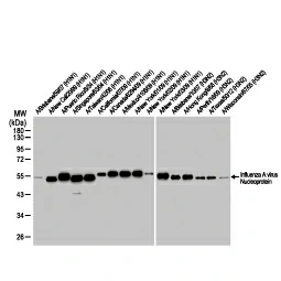
![Influenza A Virus Nucleoprotein antibody [HL1103] (GTX636318)](/upload/media/research/Infectious-Diseases/homepage/data/dataImg_250x250_05.webp) |
|
Influenza A Virus Nucleoprotein antibody [HL1103]
|
|
GTX636318
|
|

|
|
|
 |
|
Porcine circovirus type 2 / PCV2 Capsid antibody
|
|
GTX128120
|
|

|
|
|
![Respiratory Syncytial Virus Nucleoprotein antibody [HL1248] (GTX636650)](/upload/media/research/Infectious-Diseases/homepage/data/dataImg_250x250_07.webp) |
|
Respiratory Syncytial Virus Nucleoprotein antibody [HL1248]
|
|
GTX636650
|
|

|
|
|
![Respiratory Syncytial Virus Nucleoprotein antibody [HL1248] (GTX636650)](/upload/media/research/Infectious-Diseases/homepage/data/dataImg_250x250_08.webp) |
|
Respiratory Syncytial Virus Nucleoprotein antibody [HL1248]
|
|
GTX636650
|
|

|
|
|
| |
|
|
|
![SARS-CoV-2 (COVID-19) Spike S1 antibody [HL6] (GTX635654)](/upload/media/research/Infectious-Diseases/homepage/data/dataImg_250x250_09.webp) |
|
SARS-CoV-2 (COVID-19) Spike S1 antibody [HL6]
|
|
GTX635654
|
|

|
|
|
![SARS-CoV-2 (COVID-19) Spike S1 antibody [HL6] (GTX635654)](/upload/media/research/Infectious-Diseases/homepage/data/dataImg_250x250_10.webp) |
|
SARS-CoV-2 (COVID-19) Spike S1 antibody [HL6]
|
|
GTX635654
|
|

|
|
|
![Venezuelan Equine Encephalitis Virus nsP2 antibody [HL1919] (GTX637668)](/upload/media/research/Infectious-Diseases/homepage/data/dataImg_250x250_11.webp) |
|
Venezuelan Equine Encephalitis Virus nsP2 antibody [HL1919]
|
|
GTX637668
|
|

|
|
|
 |
|
Zika Virus Envelope protein antibody
|
|
GTX133314
|
|

|
|
|
| |
|
|
|