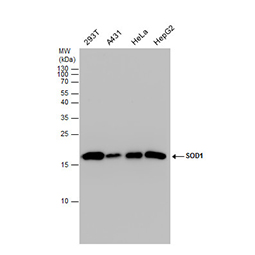
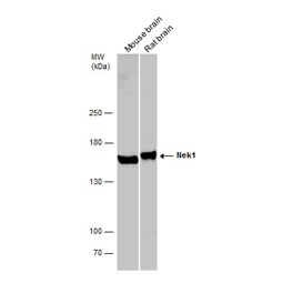
Amyotrophic lateral sclerosis (ALS) is an invariably fatal adult-onset neurodegenerative disorder characterized by the progressive loss of both upper and lower motor neurons. The major clinical presentation of ALS is muscle weakness and atrophy affecting speech, swallowing, and movement, with respiratory failure being the most common reason for death usually within 3-5 years of diagnosis. Though the cause is unknown, recent studies have identified several genes associated with the disease including SOD1, TARDBP, FUS, C9orf72, C21orf2, and most recently NEK1.
GeneTex is proud to offer exceptional antibodies against these targets relevant to ALS. Please see the examples highlighted below and the accompanying table to find the reagent that facilitates your ALS research.