Neuroinflammation occurs within the central nervous system (CNS) as a result of infection, injury, autoimmune processes, or toxicity. Microglia, as the specialized resident macrophage cells in the CNS, play crucial roles in both the initiation and resolution of neuroinflammation. However, their impact on neurons is complex. Microglia demonstrate a phenotypic plasticity that is directly influenced by the regional brain microenvironment. Thus, the M1/M2 dichotomy labeling used to describe other macrophage activity is inadequate to reflect the true heterogeneity of the microglial population. It is known that in neurodegenerative disease the microglia may display a “disease-associated microglia signature” that involves expression of genes found in both M1 and M2 profiles. Therefore, though important for the initial response to neuronal insult, microglia often contribute to the neuronal loss characteristic of these diseases.
GeneTex is proud to offer an outstanding, well-cited Iba1 antibody (GTX101495) as an important addition to your reagent collection for microglia research. This antibody was validated in part through side-by-side comparison with other market-leading antibodies for western blot and immunohistochemistry (Fig. 1 and Fig. 2) *.
See all related Products
 |
|
Fig. 1. Western blot of THP-1 and HL-60 whole cell extracts probed with GeneTex Iba1 antibody GTX101495 or competitor’s antibody.
|
|
|
 |
|
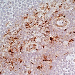
Fig. 2. IHC analysis staining microglial cells in mouse cerebellum sections with either GeneTex Iba1 antibody
|
|
GTX101495
|
|
|
| |
|
For more antibodies to study neuroinflammation, please see the featured products below or click here to view the complete list.