Normal Tissue Gallery- GTX04362

PD-L1 antibody [MSVA-711R] HistoMAXTM

 

Go to Cancer Tissue Gallery
  
 Go back to product page
  

Go to HistoMAX page

 

Adrenal gland

aorta, media

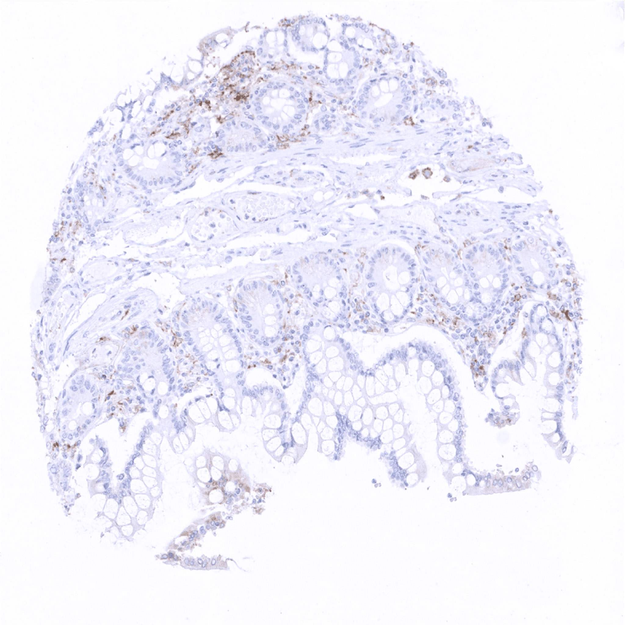
Appendix, mucosa

Appendix, muscular wall

       

bone marrow

breast

bronchus, mucosa

Cerebellum (molecular, Purkinje and, granule cell layers)

       

Cerebellum (granule cell layer, white matter)

cerebrum, grey matter

cerebrum, white matter

colon descendens, mucosa

       

colon descendens, muscular wall

Duodenum, mucosa

Duodenum, Brunner gland

Duodenum, mucosa

       

Ectocervix

Endocervix

endometrium, proliferation

endometrium, secretion

       

epididymis

esophagus, squamous epithelium

fallopian tube, mucosa

fat

       

gallbladder, epithelium

heart

Ileum, mucosa

Ileum, mucosa – Few PD-L1 positive macrophages are seen.

       

kidney, cortex

kidney, medulla

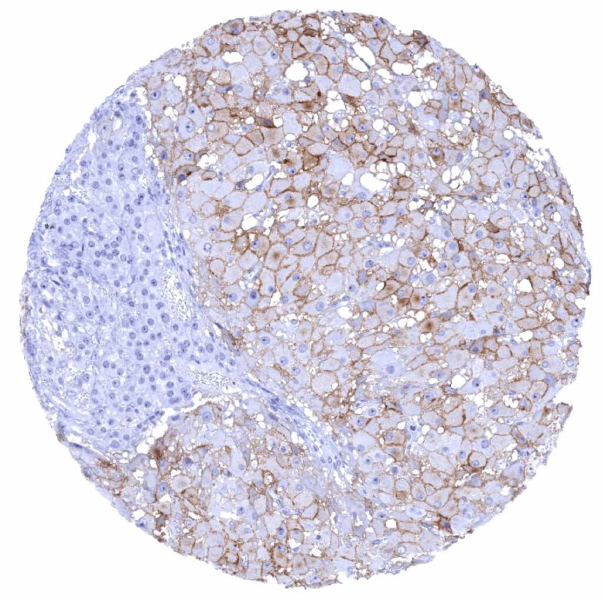
liver

Lung – Alveolar macrophages display a very intense PD-L1 immunostaining.

       

lymph node

Ovary, corpus luteum – Strong PD-L1 positivity of corpus luteum cells

ovary, stroma

pancreas

       

parathyroid

Parotid gland

Pituitary gland, anterior lobe – Moderate PD-L1 immunostaining of a fraction of epithelial cells

Pituitary gland, posterior lobe

       

Pituitary gland, posterior lobe – A weak fibrillar PD-L1 staining is seen in this sample.

Pregnant uterus (decidua) – Numerous PD-L1 positive macrophages are seen.

Pregnant uterus (decidua)

placenta, early

       

Placenta (amnion and chorion)

placenta, mature

prostate

Rectum, mucosa

       

seminal vesicle

Sinus paranasales

skin

Spleen – A weak to moderate PD-L1 immunostaining is seen in venous sinuses in the spleen (littoral cells).

       

stomach, antrum

stomach, corpus

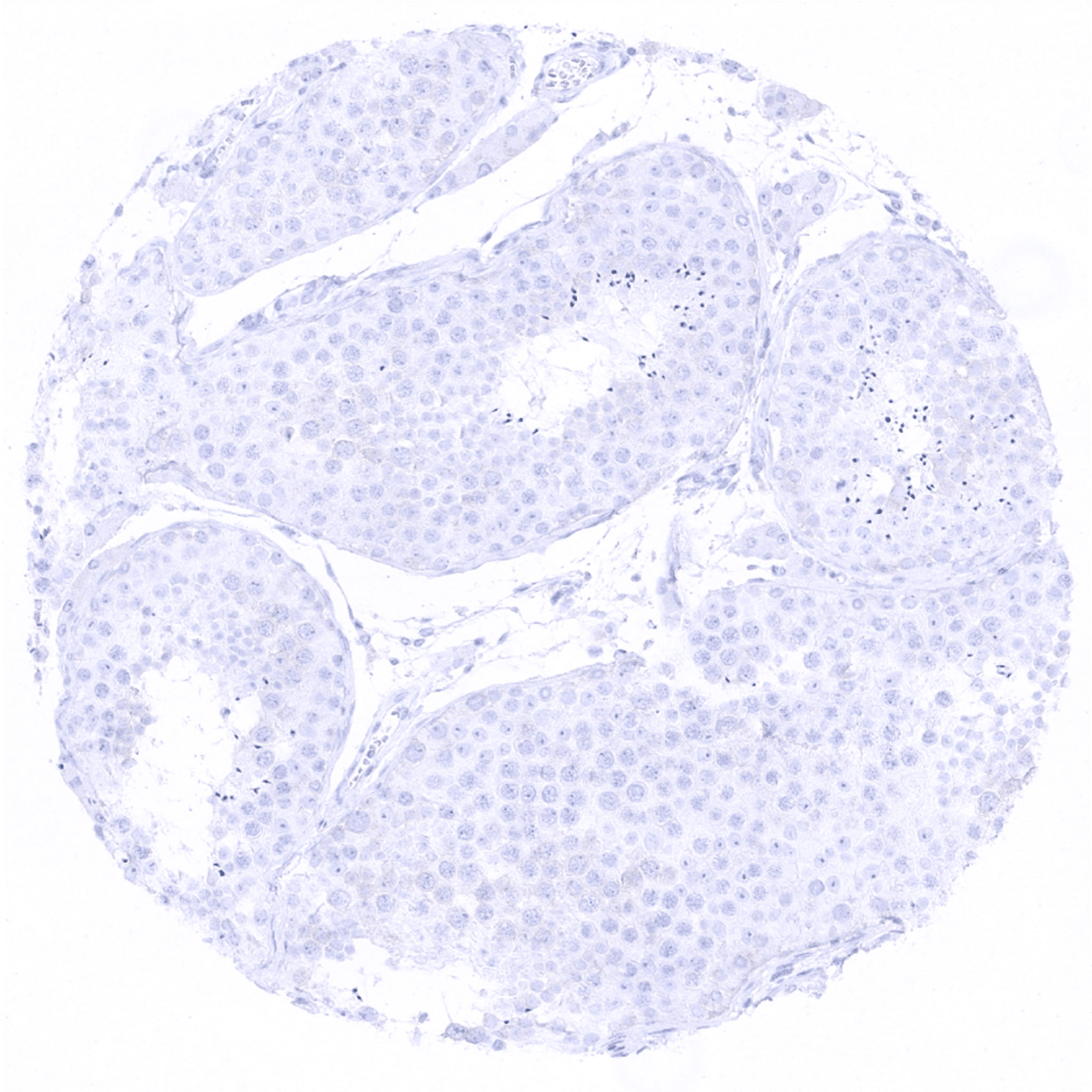
testis

Thymus

       

thyroid gland

Tongue, skeletal muscle

tonsil, surface epithelium

tonsil

       

urinary bladder, muscular wall

urinary bladder, urothelium

uterus, myometrium

     

 

| TOP |