Skeletal Muscle Cells

Skeletal muscle consists of elongated multinuclear cells (myofibers) bundled together to form striated muscle fibers.

 

Skeletal Muscle Cell Markers

 

 

epsilon Sarcoglycan / SGCE antibody [N1C1] GTX116453

epsilon Sarcoglycan / SGCE antibody [N1C1]

Creatine kinase (muscle) antibody GTX108969

Creatine kinase (muscle) antibody

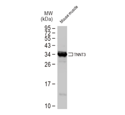
Troponin T fast skeletal antibody GTX130922

Troponin T fast skeletal antibody

gamma Sarcoglycan antibody

gamma Sarcoglycan antibody