Orthogonal_Antibodies
![]() |
|
Detecting predicted changes in the antibody-generated signal due to alteration of experimental biological conditions is a reliable approach to gauge antibody performance. This is based on enrichment, depletion, or subcellular localization of the target protein that results from specific, well-described sample preparation methods commonly used to study protein biology. These methods include the following: 1.Treatment of cells with chemical agents, cytokines, hormones, hypoxic or nutrient-deprived culture conditions, etc. In the example below, LC3B protein expression and subcellular localization were detected by western blot and immunocytochemistry with GeneTex’s LC3B antibody (GTX127375) in HepG2 and HeLa cells treated with Thapsigargin and Chloroquine, respectively. The LC3B signal was found to be both increased and enriched in autophagosomes in the treated cells, corresponding to the protein’s known biological behavior. |
|
|
|
|||
|
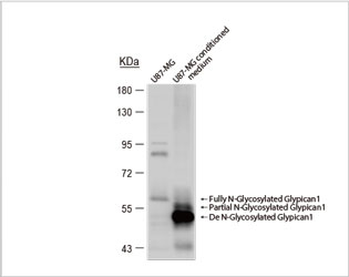
| Similarly, to test the specificity of an antibody against Glypican 1 (GPC1), a glycosylated transmembrane protein known to be cleaved and extracellularly secreted, protein extracts from A431 cells treated with Benzyl glucosinolate and Tunicamycin were used. As shown below, the signals generated by GeneTex’s Glypican 1 antibody (GTX104557) varied depending on the protein’s glycosylation status. In addition, cell membrane extracts and conditioned medium were obtained from U87-MG cell cultures and GPC1 was probed for by western blot. As predicted, the GPC1 signal was enriched in both of these samples, consistent with the protein’s biological characteristics and therefore offering strong evidence of the antibody’s specificity. |
|
| These methods are especially useful when analyzing proteins involved in cell proliferation and death, as well as proteins with post-translational modifications. GeneTex antibodies validated using this biological and orthogonal strategy will be labeled with the icon " |
![]() |







