Infection by animal viruses is initiated by viral binding to host cells. Delineation of the mechanisms mediating subsequent viral entry is an area of intense research, as there is considerable complexity and variability among different viruses. Nevertheless, a general framework for this process, particularly for some enveloped viruses, involves the following steps: (1) viral attachment to host cell receptors, (2) cell signaling pathway activation, (3) endocytosis, (4) penetration of cellular membranes and intracellular trafficking, and (5) viral genome uncoating. The viral genome is then available for expression, replication, packaging and release to infect other cells. Understanding the molecular events underlying virus/host cell interactions during entry is of paramount importance for the potential identification of targets for pharmacologic intervention.

GeneTex is proud to offer an outstanding selection of antibodies to study virus attachment, internalization and penetration for infectious disease research. These antibodies are validated for various applications to facilitate your efforts in this exciting field. Please see the highlighted products below or go to our website (www.genetex.com).

 

 

 See all related Products
 

Highlighted Products

 

 

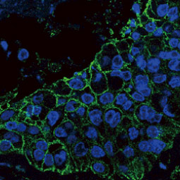
ACE2 antibody [N1N2], N-term (GTX101395)

ACE2 antibody [N1N2], N-term

TMPRSS2 antibody [N2C3] (GTX100743)

TMPRSS2 antibody [N2C3]

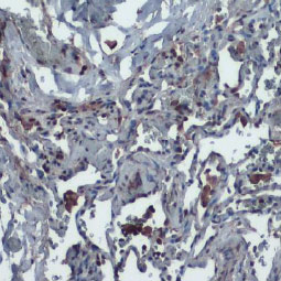
AXL antibody (GTX129407)

AXL antibody

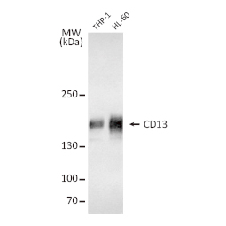
CD13 antibody (GTX102788)

CD13 antibody

       
ICAM1 / CD54 antibody [N1C2] (GTX100450)

ICAM1 / CD54 antibody [N1C2]

Occludin antibody (GTX114949)

Occludin antibody