Search Results
-
$429500 μl
-
Description Rabbit MonoclonalApplications WB ICC/IF IHC-P FCMReactivity HuSummary This antibody was raised against human PD-L1 Intracellular domain, and it does not cross with PD-L2 protein.
$419100 μl$16925 μl -
Description Rabbit MonoclonalApplications WB ICC/IFReactivity HuSummary This antibody was raised against human PD-L1 Intracellular domain, and it does not cross react with human PDL2 protein.
$419100 μl$16925 μl -
$419100 μl$16925 μl
-
Description Rabbit PolyclonalApplications WB ICC/IF IHC-P IHC-Fr FCMReactivity HuSummary This antibody is specific for human PDL1 protein, and it does not cross react with human PDL2 protein.
KO/KD validation is based on published data (PMID: 31905966 and 33608051).$419100 μl$16925 μl -
Description Rabbit MonoclonalApplications WB ICC/IF FCMReactivity HuSummary The Knockout validations were performed by both WB and ICC/IF assay. This antibody was raised against human PD-L1 Intracellular domain.
$419100 μl$16925 μl -
Description Rabbit MonoclonalApplications WB IHC-PReactivity Hu$419100 μl$16925 μl -
Description Rabbit MonoclonalApplications IHC-PReactivity HuSummary Highly recommended for IHC-P in human tissues.
$649500 μl$329100 μl -
Description Rabbit MonoclonalApplications IHC-PReactivity HuSummary Highly recommended for IHC-P in human tissues.
$789500 μl$299100 μl -
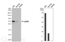
Description Rabbit MonoclonalApplications WBReactivity HuSummary This antibody was raised against human LAG3 Extracellular domain.
$419100 μl$16925 μl
Recombinant antibody
KO/KD
Comparison
Orthogonal
Overexpression
HistoMAX