|
Increasing knowledge of how cancer cells escape immune destruction has significantly driven the evolution of cancer immunotherapy. In particular, studies describing how different immune checkpoints, including the PD-1 and CTLA-4 pathways, function to attenuate T cell antitumor activity have revealed novel opportunities for therapeutic intervention. Researchers have made promising strides in inhibiting these checkpoints to unleash the T cells’ tumor-killing potential. Given that both radiotherapy and chemotherapy can also mobilize antitumor T cells, there is great excitement that checkpoint inhibition and other immunomodulatory approaches can be combined with conventional modalities to maximize clinical outcomes for a number of malignancies.
GeneTex Proudly Provides an Outstanding PD-L1 Antibody for Your Research
- Used at 1:1000 for IHC
- Knockout/knockdown validation
- Highly specific and sensitive
- Citation support
|
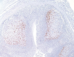
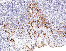
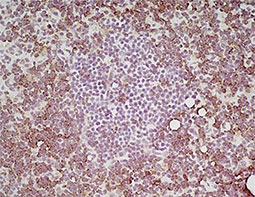
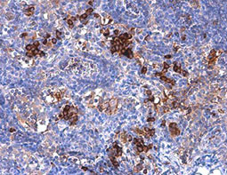
PD-L1 antibody (GTX104763) |
|
|
|
||||||||||||
Click here to view the full list of antibodies for the study of immune checkpoints
|
Highlighted Products |
|
|
|
||||||||||||
|
|
|
||||||||||||
|
|
|
||||||||||||







![4-1BB / CD137 antibody [17B5] (FITC) (GTX43758)](/upload/media/research/Cancer/Cancer_Immune_Checkpoints/Cancer-Immune-Checkpoints_11.jpg)
![B7-H3 / CD276 antibody [MIH42] (PE) (GTX43126)](/upload/media/research/Cancer/Cancer_Immune_Checkpoints/Cancer-Immune-Checkpoints_12.jpg)

![LAG3 antibody [C9B7W] (Low endotoxin, azide free)(GTX42244)](/upload/media/research/Cancer/Cancer_Immune_Checkpoints/Cancer-Immune-Checkpoints_14.jpg)
](/upload/media/research/Cancer/Cancer_Immune_Checkpoints/GTX634652.jpg)